Стоматологічна клініка Оланко

Завантаження

`

Стоматологічний центр м. Бровари вул.Незалежності 17(арка)

0800 330-878 *

*Дзвінки безкоштовні

м. Бровари, бул. Незалежності, 17, корпус 3 (вхід в арку)

Пн-Пт: 09:00 - 18:00

Сб: 09:00 - 18:00

Нд: вихідний

0800 330-878 *

*Дзвінки безкоштовні

Клінічний випадок 6 імплантація

Опис

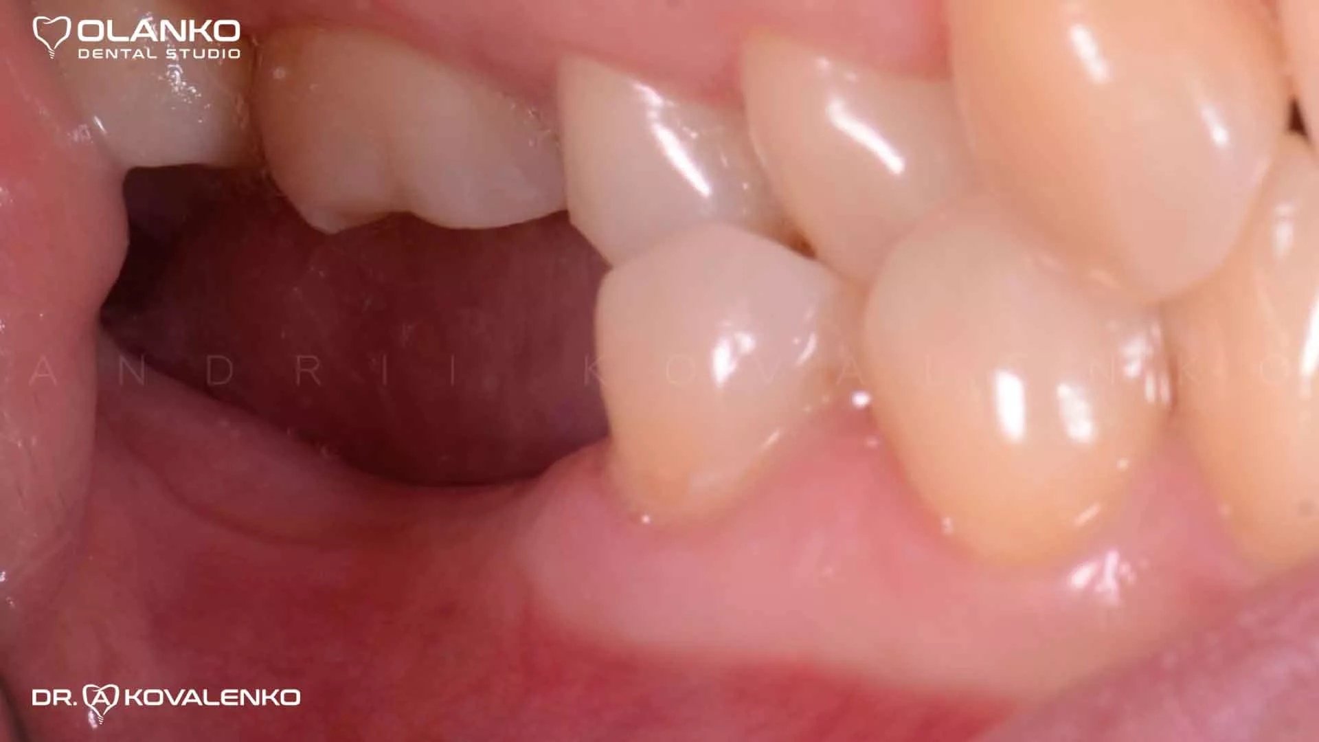
Пацієнт звернувся в клініку з скаргами на відсутність двох жувальних зубів(зубів бічної ділянки)

Проведено

Операція зі встановлення двох зубних імплантатів одномоментно з нарощенням ясен та установкою формувачів.

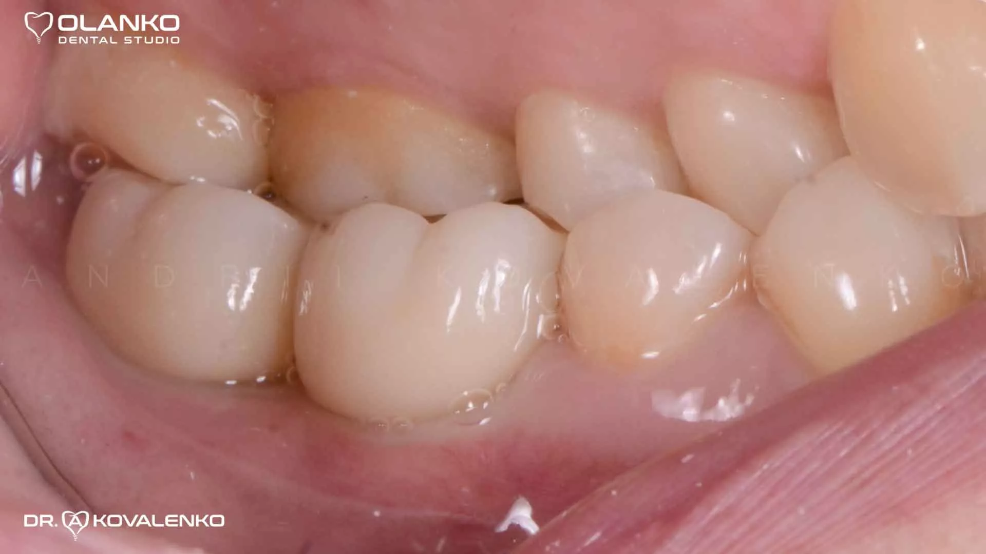
Через три місяці після приживлення імплантатів були виготовлені повноанатомічні керамічні коронки з діоксиду цирконія, та зафіксовані на імплантах.

Фото ситуації до встановлення імплантів

Клінічний випадок 6 імплантація
Клінічний випадок 6 імплантація

Фото імплантата перед встановленням в кістку

Клінічний випадок 6 імплантація

Фото вигляд ясен після приживлення імплантів

Клінічний випадок 6 імплантація
Фото керамічних коронок які пригвинчуються до імплантів
Клінічний випадок 6 імплантація

Фото готових коронок зафіксованих на імплантах

Клінічний випадок 6 імплантація
Клінічний випадок 6 імплантація

до

після

Клінічний випадок 6 імплантація Клінічний випадок 6 імплантація

до

після

Клінічний випадок 6 імплантація Клінічний випадок 6 імплантація

Акція

ЗАПИШИСЬ НА КОНСУЛЬТАЦІЮ ТА ОТРИМАЙ НАКОПИЧУВАЛЬНУ КАРТКУ КЛІЄНТА ЗІ СТАРТОВОЮ ЗНИЖКОЮ 3% ПІСЛЯ ПЕРШОГО ВІЗИТУ