Стоматологічна клініка Оланко

Завантаження

`

Стоматологічний центр м. Бровари вул.Незалежності 17(арка)

0800 330-878 *

*Дзвінки безкоштовні

м. Бровари, бул. Незалежності, 17, корпус 3 (вхід в арку)

Пн-Пт: 09:00 - 18:00

Сб: 09:00 - 18:00

Нд: вихідний

0800 330-878 *

*Дзвінки безкоштовні

Клінічний випадок 3 Керамічні вініри(коронки)

Опис

Скарги на незадовільну посмішку та колір зубів.Неправильний прикус, скупченість зубів.Больові відчуття під час приймання їжі.

Проведено

Комплексна діагностика з складанням поетапного плану лікування.

Лікування кариєса та кореневіх каналів під микроскопом.Установка зубного імплантата.

Ортодонтичне лікування брекет системою для нормализації прикуса та положення зубів перед протезуванням.

Цифрове планування посмішки та форми зубів, віготовлення прототипа з композитного матеріала.

Повне тотальне протезування керамічними вінірами та коронками.

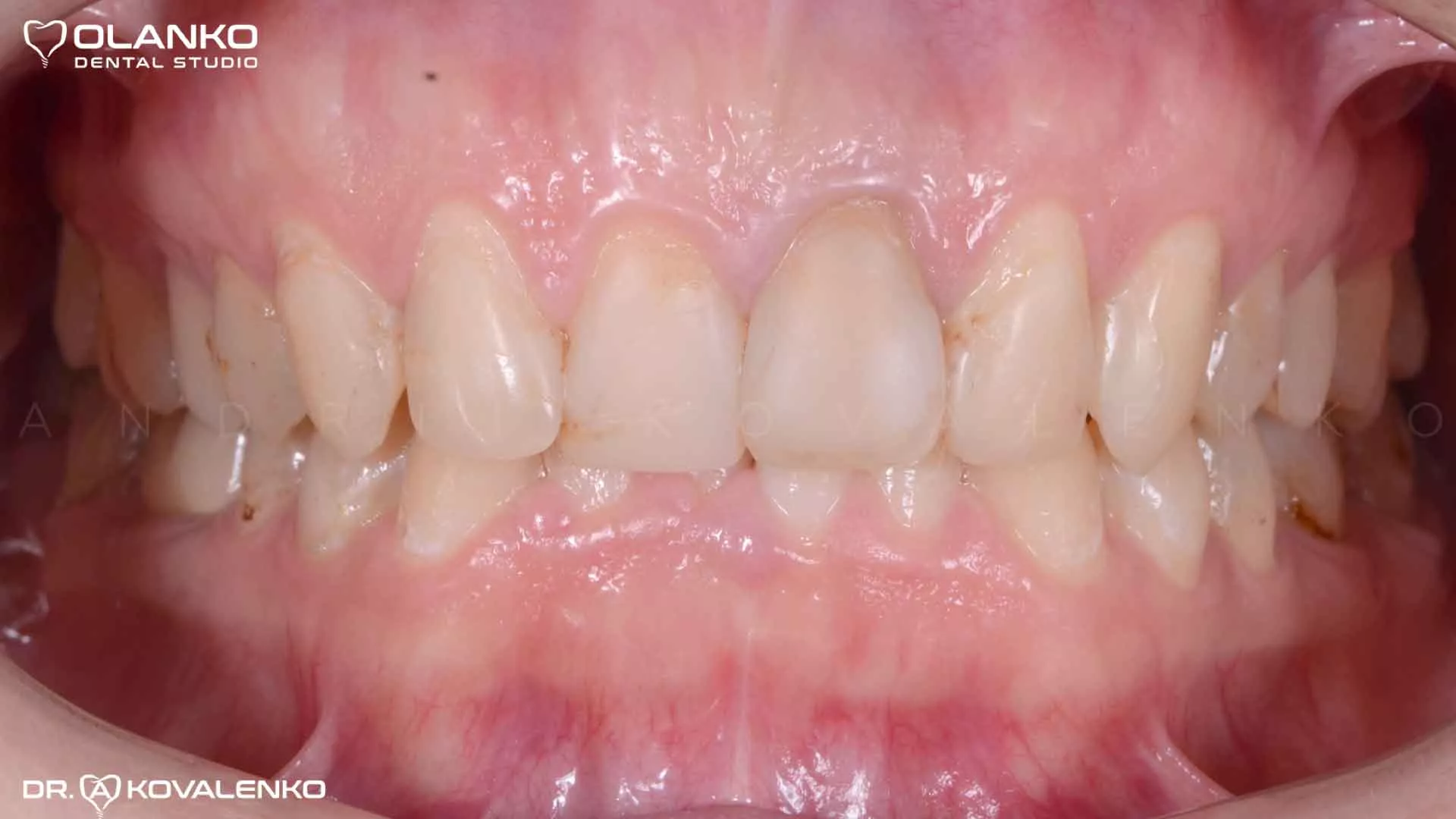
Фото зубів в прикусі до початку лікування

Клінічний випадок 3 Керамічні вініри(коронки)

Фото зубів в прикусі після протезування вінірами та коронками 

Клінічний випадок 3 Керамічні вініри(коронки)

Фото посмішки до протезування

Клінічний випадок 3 Керамічні вініри(коронки)

Фото посмішки після протезування

Клінічний випадок 3 Керамічні вініри(коронки)

до

після

Клінічний випадок 3 Керамічні вініри(коронки) Клінічний випадок 3 Керамічні вініри(коронки)

Акція

ЗАПИШИСЬ НА КОНСУЛЬТАЦІЮ ТА ОТРИМАЙ НАКОПИЧУВАЛЬНУ КАРТКУ КЛІЄНТА ЗІ СТАРТОВОЮ ЗНИЖКОЮ 3% ПІСЛЯ ПЕРШОГО ВІЗИТУ