Стоматологічна клініка Оланко

Завантаження

`

Стоматологічний центр м. Бровари вул.Незалежності 17(арка)

0800 330-878 *

*Дзвінки безкоштовні

м. Бровари, бул. Незалежності, 17, корпус 3 (вхід в арку)

Пн-Пт: 09:00 - 18:00

Сб: 09:00 - 18:00

Нд: вихідний

0800 330-878 *

*Дзвінки безкоштовні

Клінічний випадок 5 Керамічні вініри(коронки)

Опис

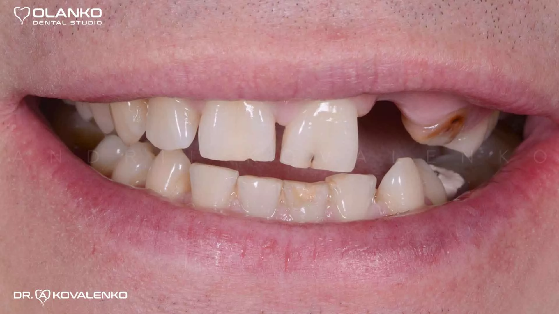
Незадовільний вигляд посмішки,зниження висоти прикусу та повна втрата зуба(бічного різця) в естетичній ділянці

Проведено

Комплексна діагностика.

Лікування кореневих каналів під мікроскопом та відновлення зруйнованих зубів.

Встановлено три зубних імплантата з кістковою пластикою та пластикою десни.

Виготовлено 28 керамічних коронок та вінірів,які були зфіксовані на зубах та імплантах.  

Фото посмішки до початку лікування

Клінічний випадок 5 Керамічні вініри(коронки)
Клінічний випадок 5 Керамічні вініри(коронки)

Фото готових керамічних вінірів та коронок

Клінічний випадок 5 Керамічні вініри(коронки)
Клінічний випадок 5 Керамічні вініри(коронки)

Фото вигляд посмішки після закінчення лікування,вініри та корнки зафіксовані

Клінічний випадок 5 Керамічні вініри(коронки)
Клінічний випадок 5 Керамічні вініри(коронки)

до

після

Клінічний випадок 5 Керамічні вініри(коронки) Клінічний випадок 5 Керамічні вініри(коронки)

до

після

Клінічний випадок 5 Керамічні вініри(коронки) Клінічний випадок 5 Керамічні вініри(коронки)

Акція

ЗАПИШИСЬ НА КОНСУЛЬТАЦІЮ ТА ОТРИМАЙ НАКОПИЧУВАЛЬНУ КАРТКУ КЛІЄНТА ЗІ СТАРТОВОЮ ЗНИЖКОЮ 3% ПІСЛЯ ПЕРШОГО ВІЗИТУ