Стоматологічна клініка Оланко

Завантаження

`

Стоматологічний центр м. Бровари вул.Незалежності 17(арка)

0800 330-878 *

*Дзвінки безкоштовні

м. Бровари, бул. Незалежності, 17, корпус 3 (вхід в арку)

Пн-Пт: 09:00 - 18:00

Сб: 09:00 - 18:00

Нд: вихідний

0800 330-878 *

*Дзвінки безкоштовні

Клінічний випадок 2 імплантація

Опис

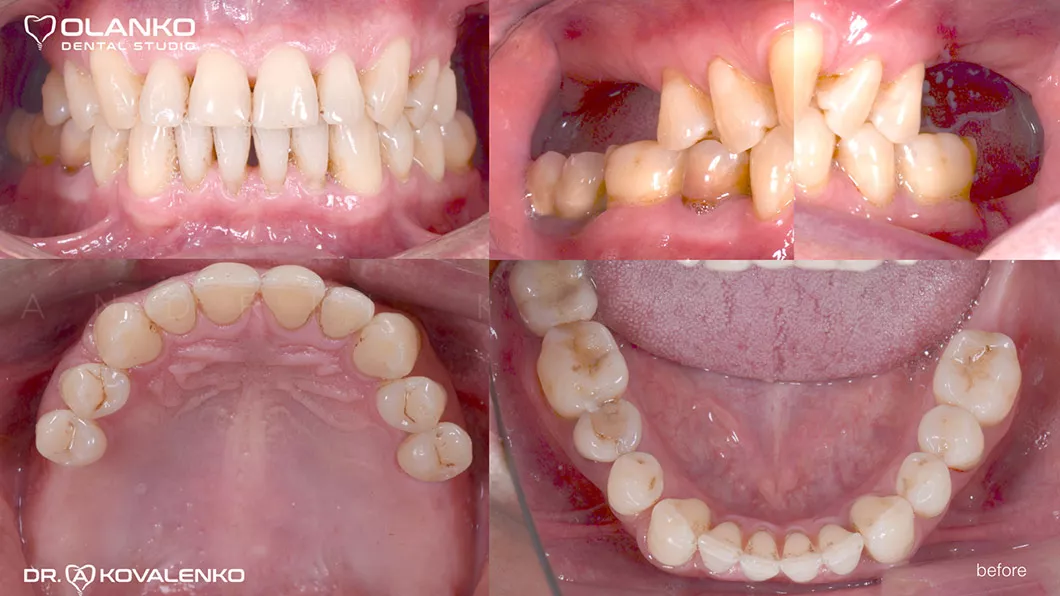
Пацієнт звернувся зі скаргами на відсутність жувальної групи зубів.

Проведено

Лікування: операція кісткової пластики на верхній щелепі (двосторонній синус-ліфтинг). Установка 4-х зубних імплантатів на верхній щелепі і один зубний імплантат на нижній щелепі. Пластика м'яких тканин в області імплантатів.

Ситуація до

Клінічний випадок 2 імплантація
Клінічний випадок 2 імплантація

Вид ясен перед установкою коронок

Клінічний випадок 2 імплантація

Вид готових керамічних коронок перед установкою

Клінічний випадок 2 імплантація

Керамічні коронки зафіксовані на імплантати

Клінічний випадок 2 імплантація
Клінічний випадок 2 імплантація

До та після:

до

після

После До

до

після

После До

Акція

НАТИСНИ І ОТРИМАЙ ЗНИЖКУ 3% НА УСІ ВИДИ ПОСЛУГ

 

Повідомлення відправлено

Акція

ЗАПИШИСЬ НА КОНСУЛЬТАЦІЮ ТА ОТРИМАЙ НАКОПИЧУВАЛЬНУ КАРТКУ КЛІЄНТА ЗІ СТАРТОВОЮ ЗНИЖКОЮ 3% ПІСЛЯ ПЕРШОГО ВІЗИТУ