Стоматологическая клиника Оланко

Загрузка

`

Стоматологический центр г. Бровары ул.Независимости 17(арка)

0800 330-878 *

*Звонки бесплатные

г. Бровары, б-р Независимости 17 корпус 3 (вход в арку)

Пн-Пт: 09:00 - 18:00

Сб: 09:00 - 18:00

Вс: выходной

0800 330-878 *

*Звонки бесплатные

Клинический случай 2 имплантация зубов

Описание

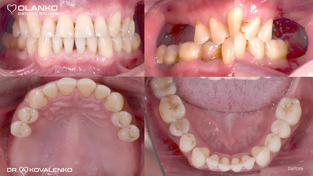
Пациент обратился с жалобами на отсутствие жевательной группы зубов.

Проведено

Лечение: операция костной пластики на верхней челюсти (двухсторонний синус-лифтинг). Установка 4-х зубных имплантатов на верхней челюсти и один зубной имплантат на нижней челюсти. Пластика мягких тканей в области имплантатов.

Ситуация до

Клинический случай 2 имплантация зубов
Клинический случай 2 имплантация зубов

Вид десны перед установкой коронок

Клинический случай 2 имплантация зубов

Вид готовых керамических  коронок перед установкой

Клинический случай 2 имплантация зубов

Керамические коронки зафиксированы на имплантаты

Клинический случай 2 имплантация зубов
Клинический случай 2 имплантация зубов

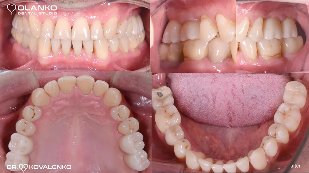
До и После:

до

после

После До

до

после

После До

Акция

ЗАПИШИСЬ НА КОНСУЛЬТАЦИЮ И ПОЛУЧИ НАКОПИТЕЛЬНУЮ КАРТУ КЛИЕНТА СО СТАРТОВОЙ СКИДКОЙ 3% ПОСЛЕ ПЕРВОГО ВИЗИТА