Стоматологічна клініка Оланко

Завантаження

`

Стоматологічний центр м. Бровари вул.Незалежності 17(арка)

0800 330-878 *

*Дзвінки безкоштовні

м. Бровари, бул. Незалежності, 17, корпус 3 (вхід в арку)

Пн-Пт: 09:00 - 18:00

Сб: 09:00 - 18:00

Нд: вихідний

0800 330-878 *

*Дзвінки безкоштовні

Клінічний випадок 8 імплантація

Опис

Пацієнтка звернулася зі скаргами на больові відчуття, рухливість та виділення гною в області мостовидного металокерамічного протеза у фронтальній ділянці верхньої щелепи

Проведено

Лікування: демонтаж (зняття металокерамічного мостовидного протеза). В результаті діагностики зуби під протезом не підлягали лікуванню!

Видалили 5  зубів з одномоментною імплантацією, кістковою та ясеневою пластикою. Встановлено чотири зубних імплантати Straumann Roxolid SLA. Через 4 місяці проведено протезування, на імплантати встановлений безметаловий мостовидний протез з діоксиду цирконію.

Фото ситуація до початку протезування

Клінічний випадок 8 імплантація
Клінічний випадок 8 імплантація
Клінічний випадок 8 імплантація

Фото вигляд зруйнованих зубів після зняття металокерамічного мосту

Клінічний випадок 8 імплантація

Фото момент установки зубних імплантатів

Клінічний випадок 8 імплантація

Фото вид ясен навколо імплантатів після приживлення

Клінічний випадок 8 імплантація

Фото суцільнокерамічного мостовидного зубного протеза перед установкою

Клінічний випадок 8 імплантація

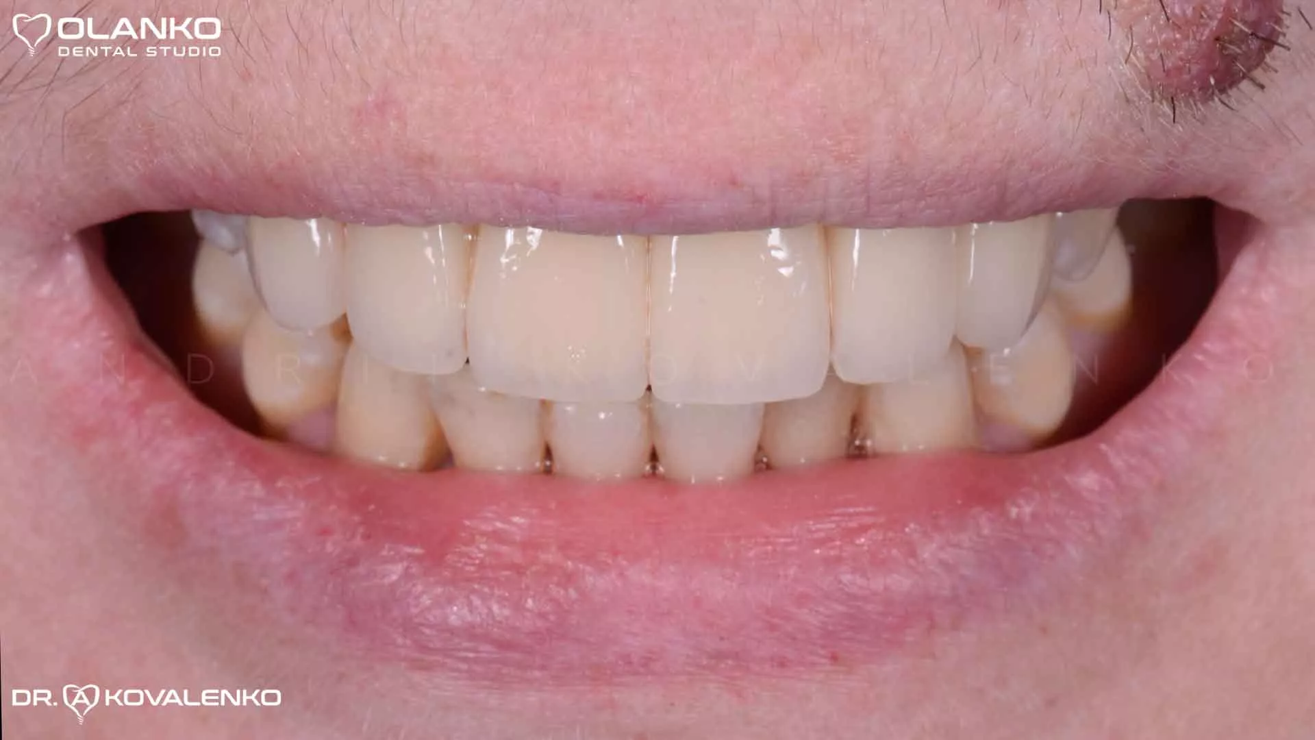
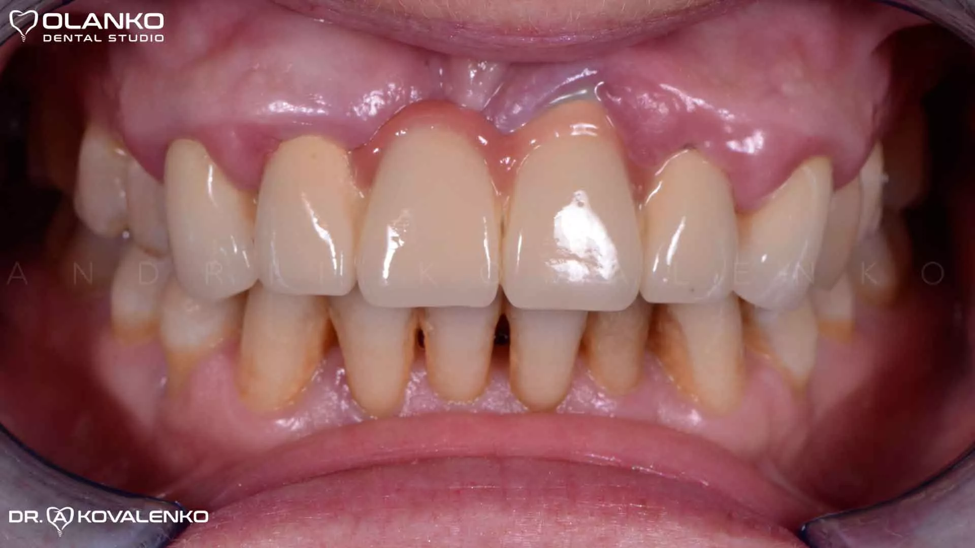
Фото в роті після закінчення протезування на імплантатах

Клінічний випадок 8 імплантація

Фото посмішки після установки протеза

Клінічний випадок 8 імплантація

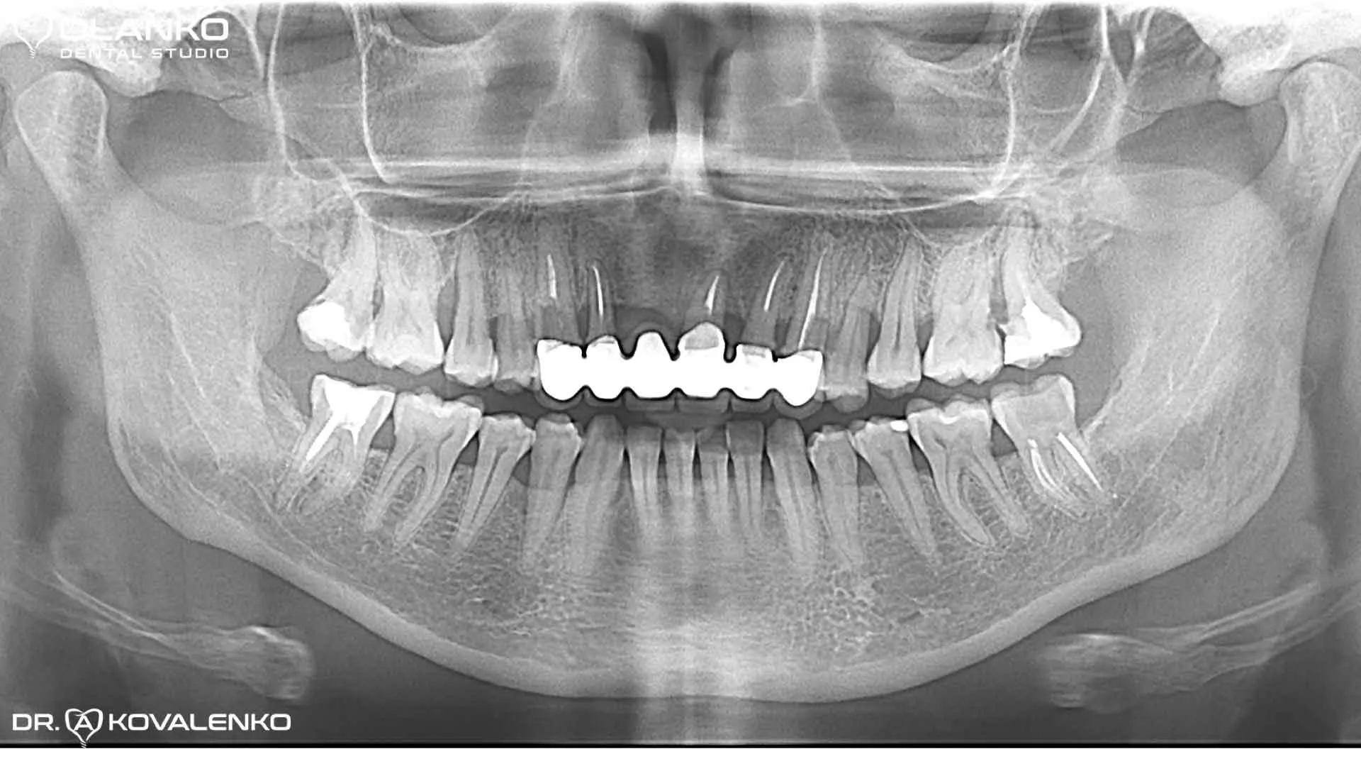
Контрольний панорамний рентген знімок після закінчення протезування на імплантатах

Клінічний випадок 8 імплантація

до

після

Клінічний випадок 8 імплантація Клінічний випадок 8 імплантація

до

після

Клінічний випадок 8 імплантація Клінічний випадок 8 імплантація

Акція

ЗАПИШИСЬ НА КОНСУЛЬТАЦІЮ ТА ОТРИМАЙ НАКОПИЧУВАЛЬНУ КАРТКУ КЛІЄНТА ЗІ СТАРТОВОЮ ЗНИЖКОЮ 3% ПІСЛЯ ПЕРШОГО ВІЗИТУ