Стоматологическая клиника Оланко

Загрузка

`

Стоматологический центр г. Бровары ул.Независимости 17(арка)

0800 330-878 *

*Звонки бесплатные

г. Бровары, б-р Независимости 17 корпус 3 (вход в арку)

Пн-Пт: 09:00 - 18:00

Сб: 09:00 - 18:00

Вс: выходной

0800 330-878 *

*Звонки бесплатные

Клинический случай 8 имплантация зубов

Описание

Пациентка обратилась с жалобами на болевые ощущения, подвижность и выделения гноя в области мостовидного металлокерамического протеза во фронтальном участке верхней челюсти

Проведено

Лечение: демонтаж (снятие металлокерамического мостовидного протеза). В результате диагностики зубы под протезом не подлежали лечению!

Проведено удаление 5 несостоятельных зубов с одномоментной имплантацией, костной и десневой пластикой. Установлено четыри зубных имплантата Straumann Roxolid SLA. Через 4 месяца проведено протезирование, на имплантаты установлен безметалловый мостовидный протез из диоксида циркония. 

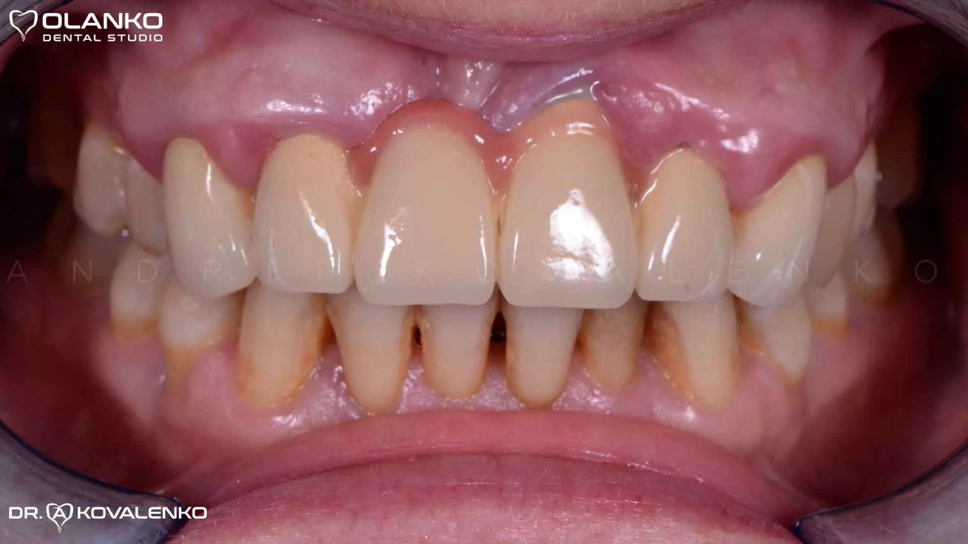
Фото ситуация до начала протезирования 

Клинический случай 8 имплантация зубов
Клинический случай 8 имплантация зубов
Клинический случай 8 имплантация зубов

Фото вид разрушенных зубов после снятия металлокерамического моста

Клинический случай 8 имплантация зубов

Фото момент установки зубных имплантатов 

Клинический случай 8 имплантация зубов

Фото вид десны вокруг имплантатов после приживления

Клинический случай 8 имплантация зубов

Фото цельнокерамического мостовидного зубного протеза перед установкой 

Клинический случай 8 имплантация зубов

Фото во рту после окончания протезирования на имплантатах

Клинический случай 8 имплантация зубов

Фото улыбки после установки протеза

Клинический случай 8 имплантация зубов

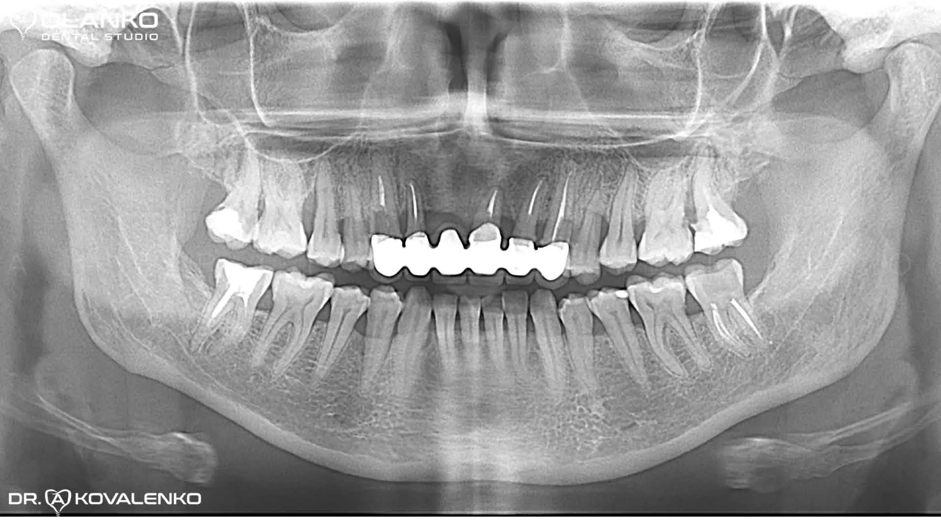
Контрольный панорамный рентген снимок после окончания протезирования на имплантатах 

Клинический случай 8 имплантация зубов

до

после

Клинический случай 8 имплантация зубов Клинический случай 8 имплантация зубов

до

после

Клинический случай 8 имплантация зубов Клинический случай 8 имплантация зубов

Акция

ЗАПИШИСЬ НА КОНСУЛЬТАЦИЮ И ПОЛУЧИ НАКОПИТЕЛЬНУЮ КАРТУ КЛИЕНТА СО СТАРТОВОЙ СКИДКОЙ 3% ПОСЛЕ ПЕРВОГО ВИЗИТА