Стоматологічна клініка Оланко

Завантаження

`

Стоматологічний центр м. Бровари вул.Незалежності 17(арка)

0800 330-878 *

*Дзвінки безкоштовні

м. Бровари, бул. Незалежності, 17, корпус 3 (вхід в арку)

Пн-Пт: 09:00 - 18:00

Сб: 09:00 - 18:00

Нд: вихідний

0800 330-878 *

*Дзвінки безкоштовні

Апаратне відбілювання зубів системою Magic Smile Бровари,Київ

Вартість послуги.Ціна на відбілювання зубів Бровари.

Апаратне відбілювання Magic Smile, Beyond (США) Експерт 45 хв 2 щелепи

5980,00 грн

Відбілювання зубів Magic Smile в Київській області

Красива білосніжна посмішка робить людину привабливішою в очах оточуючих. Але підтримувати ідеальну білизну зубів не так-то просто. Під впливом куріння, вживання продуктів і напоїв, які забарвлюють зуби, зубна емаль має властивість темніти. Крім цього, колір зубів темніє внаслідок вікових змін в організмі.

Сучасні відбілюючі зубні пасти допомагають очистити зуби від нальоту і при регулярному використанні дійсно можуть освітлити зуби на 1-2 тони. Але якщо Ви хочете домогтися сяючого білого кольору зубів, то допоможе Вам у цьому тільки апаратне відбілювання.

Olanko Dental Studio пропонує послугу відбілювання зубів системою magic smile в Київській області. Це один з найбільш популярних і безпечних методів відбілювання зубів на сьогоднішній день.

Для процедури відбілювання зубів magic smile використовується спеціальний гель на основі перекису карбаміду. Його активація здійснюється за рахунок світлодіодної лампи MagicLight Pro з холодним синім світлом. Головною перевагою застосування цієї речовини є те, що на відміну від засобів на основі перекису водню, пероксид карбаміду не викликає чутливості і при цьому володіє відмінним відбілюючим ефектом.

Відбілювання зубів Бровари Київ Magic Smile

Відбілювання зубів системою Magic Smile в Броварах

Magic smile відбілювання в Броварах ви можете пройти в нашому авторському стоматологічному центрі Olanko Dental Studio. Команда з висококваліфікованих фахівців з багаторічним досвідом і сучасним обладнанням, яке використовується в нашій клініці, дозволяє назвати Olanko Dental Studio кращою стоматологічною клінікою в Броварах і Київській області.

Відбілювання зубів Magic Smile в Києві

Якщо Ви проживаєте в Києві і хочете пройти процедуру відбілювання зубів системою Magic smile - дзвоніть і записуйтеся на прийом. Наша клініка має зручне розташування в центрі міста Бровари, на бул. Незалежності, 17 (корпус 3).Завдяки відмінній транспортній розв'язці дорога пацієнтів з Києва, особливо з Лівого берега займе не більше 40 хвилин, а отриманий від процедури ефект цілком вартий витраченого часу.

Відбілювання зубів Бровари Київ Magic Smile Magic Light Pro

Чому апаратне відбілювання зубів найкраще зробити в Olanko Dental Studio

Перед відбілюванням зубів системою magic smile наші стоматологи проводять огляд, щоб визначити стан зубів і ясен, а також виявити можливі протипоказання до проведення процедури. Якщо таких виявлено не буде, тільки в цьому випадку лікар може відбілити зуби.

Апаратне відбілювання зубів в Olanko Dental Studio не займе у Вас багато часу. Завдяки сучасній лампі MagicLight Pro процедура триває всього 20-45 хвилин (в залежності від обраної програми), а результат Ви зможете побачити відразу після її закінчення. Також наші фахівці розкажуть про правила, яких слід дотримуватися після відбілювання і про те, як зберегти ефект від процедури якомога довше.

Якщо Ви давно мрієте про здорові та білосніжні зуби, то зараз саме час записатися на прийом до лікаря. А для тих, хто запишеться online, діє спеціальна пропозиція - знижка 5% на всі послуги!

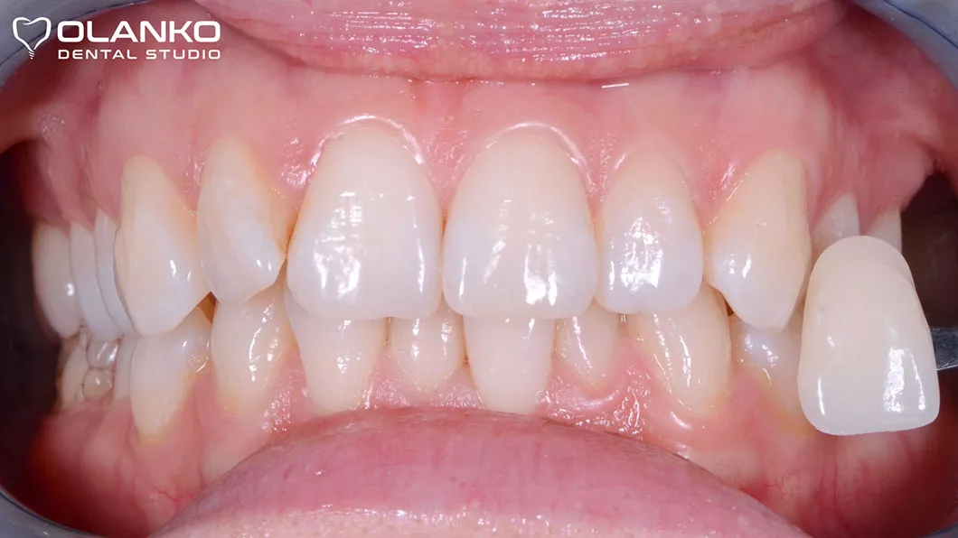
до

після

Відбілювання зубів Бровари Київ системою Magic Light (після) Відбілювання зубів Бровари Київ MagicLight (до)

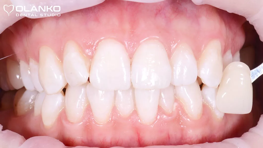
до

після

Відбілювання зубів Бровари Київ Magic Light (до) Відбілювання зубів Бровари Київ системою Magic Light (після)

Відгуки задоволених клієнтів

На сайті клініки Ви можете побачити приклади наших робіт з описом проблеми, з якою до нас звернувся пацієнт, поставленим діагнозом і проведеним лікуванням. Ми надаємо реальні фото до і після за згодою наших пацієнтів. Також на сайті Ви знайдете відгуки пацієнтів, які відвідали нашу клініку.

Ми щиро вдячні кожному, хто залишив відгук. Це надихає нас ставати ще краще і продовжувати дарувати Вам щасливі посмішки кожен день!

Акція

НАТИСНИ І ОТРИМАЙ ЗНИЖКУ 3% НА УСІ ВИДИ ПОСЛУГ

 

Повідомлення відправлено

Акція

ЗАПИШИСЬ НА КОНСУЛЬТАЦІЮ ТА ОТРИМАЙ НАКОПИЧУВАЛЬНУ КАРТКУ КЛІЄНТА ЗІ СТАРТОВОЮ ЗНИЖКОЮ 3% ПІСЛЯ ПЕРШОГО ВІЗИТУ