Стоматологическая клиника Оланко

Загрузка

`

Стоматологический центр г. Бровары ул.Независимости 17(арка)

0800 330-878 *

*Звонки бесплатные

г. Бровары, б-р Независимости 17 корпус 3 (вход в арку)

Пн-Пт: 09:00 - 18:00

Сб: 09:00 - 18:00

Вс: выходной

0800 330-878 *

*Звонки бесплатные

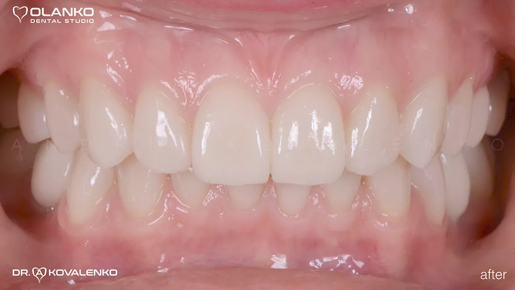
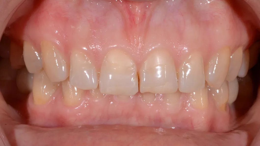
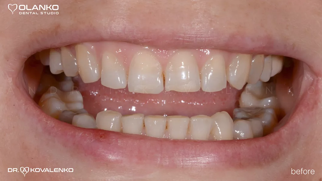
Клинический случай 1 протезирование

Описание

Жалобы на неудовлетворительную эстетику, дискомфорт при жевании в области височно-нижнечелюстного сустава, гиперчувствительность зубов.

Проведено

Диагностика: функциональный и эстетический анализ, создание проекта новой улыбки DSD (цифровой дизайн улыбки).

Лечение: замена старых композитных реставраций, лечение кариеса. Повторное лечение каналов с использованием микроскопа.

Протезирование: 28 керамических реставраций (виниры и коронки на зубах, имплантатах).

до

после

Клинический случай 1 протезирование Клинический случай 1 протезирование
Клинический случай 1 протезирование

до

после

Клинический случай 1 протезирование Клинический случай 1 протезирование

до

после

Клинический случай 1 протезирование Клинический случай 1 протезирование

Акция

ЗАПИШИСЬ НА КОНСУЛЬТАЦИЮ И ПОЛУЧИ НАКОПИТЕЛЬНУЮ КАРТУ КЛИЕНТА СО СТАРТОВОЙ СКИДКОЙ 3% ПОСЛЕ ПЕРВОГО ВИЗИТА