Стоматологическая клиника Оланко

Загрузка

`

Стоматологический центр г. Бровары ул.Независимости 17(арка)

0800 330-878 *

*Звонки бесплатные

г. Бровары, б-р Независимости 17 корпус 3 (вход в арку)

Пн-Пт: 09:00 - 18:00

Сб: 09:00 - 18:00

Вс: выходной

0800 330-878 *

*Звонки бесплатные

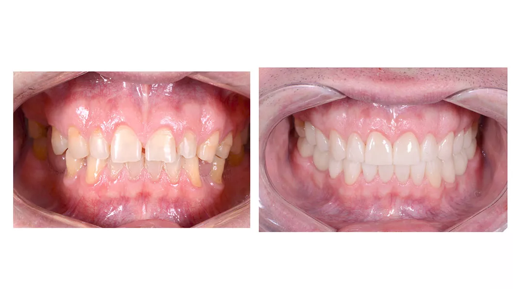
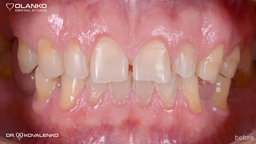
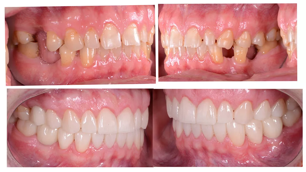
Клинический случай 2 протезирование

Описание

Пациент обратился в клинику с жалобами на отсутствие 3-х зубов, повышенную чувствительность, в следствии стираемости и неудовлетворительный внешний вид улыбки .

Проведено

Выполнено:

Исправление положения зубов (ортодонтическое лечение) брекет системой, установка 3-х зубных имплантатов и операция костной пластики а также операция открытого синус –лифтинга.

Установлено 28 керамических виниров и коронок на зубы и зубные имплантаты.

до

после

Клинический случай 2 протезирование Клинический случай 2 протезирование

до

после

Клинический случай 2 протезирование Клинический случай 2 протезирование
Клинический случай 2 протезирование
Клинический случай 2 протезирование

Акция

 НАЖИМАЙ И ПОЛУЧИ СКИДКУ 3% НА ВСЕ ВИДЫ УСЛУГ

 

Сообщение отправленно

Акция

ЗАПИШИСЬ НА КОНСУЛЬТАЦИЮ И ПОЛУЧИ НАКОПИТЕЛЬНУЮ КАРТУ КЛИЕНТА СО СТАРТОВОЙ СКИДКОЙ 3% ПОСЛЕ ПЕРВОГО ВИЗИТА