Стоматологическая клиника Оланко

Загрузка

`

Стоматологический центр г. Бровары ул.Независимости 17(арка)

0800 330-878 *

*Звонки бесплатные

г. Бровары, б-р Независимости 17 корпус 3 (вход в арку)

Пн-Пт: 09:00 - 18:00

Сб: 09:00 - 18:00

Вс: выходной

0800 330-878 *

*Звонки бесплатные

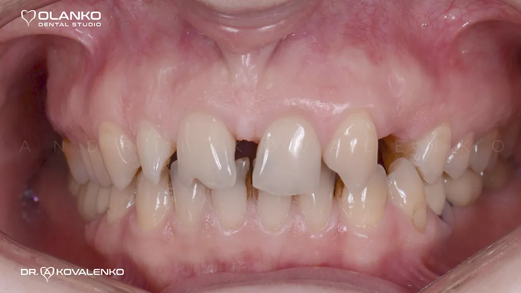
Клинический случай 3 протезирование

Описание

Пациентка обратилась с жалобами на неудовлетворительную эстетику, наличие промежутков между зубами (тремы, диастемы) полное отсутствие (адентия бокового резца слева).

Проведено

Диагностика: эстетический анализ, создание проекта новой улыбки DSD (цифровой дизайн улыбки).

Лечение: замена старых несостоятельных композитных реставраций и лечение кариеса, повторное лечение каналов с использованием микроскопа в 3х зубах.

Установлен зубной имплантат в области 23 зуба.

Проведена хирургическая коррекция десневого контура в области фронтальных зубов.

Протезирование:12 керамических реставраций (коронки,виниры на зубах и имплантате) на верхней челюсти.

до

после

Клинический случай 3 протезирование Клинический случай 3 протезирование

до

после

Клинический случай 3 протезирование Клинический случай 3 протезирование

до

после

Клинический случай 3 протезирование Клинический случай 3 протезирование

до

после

Клинический случай 3 протезирование Клинический случай 3 протезирование
Клинический случай 3 протезирование
Клинический случай 3 протезирование

Акция

 НАЖИМАЙ И ПОЛУЧИ СКИДКУ 3% НА ВСЕ ВИДЫ УСЛУГ

 

Сообщение отправленно

Акция

ЗАПИШИСЬ НА КОНСУЛЬТАЦИЮ И ПОЛУЧИ НАКОПИТЕЛЬНУЮ КАРТУ КЛИЕНТА СО СТАРТОВОЙ СКИДКОЙ 3% ПОСЛЕ ПЕРВОГО ВИЗИТА