Стоматологическая клиника Оланко

Загрузка

`

Стоматологический центр г. Бровары ул.Независимости 17(арка)

0800 330-878 *

*Звонки бесплатные

г. Бровары, б-р Независимости 17 корпус 3 (вход в арку)

Пн-Пт: 09:00 - 18:00

Сб: 09:00 - 18:00

Вс: выходной

0800 330-878 *

*Звонки бесплатные

Клинический случай 1 имплантация зубов

Описание

Пациент обратился с жалобами на нарушение функции жевания и эстетики, в связи с отсутствием зубов, а также значительной подвижности зубов на нижней челюсти.

Проведено

Лечение: пародонтологическое лечение (лечение дёсен). Лечение кариеса. Лечение корневых каналов.
Удаление зубов на верхней и нижней челюсти с одномоментной установкой зубных имплантатов по шаблону. Костная пластика.


Протезирование: полное тотальное протезирование керамическими коронками на зубах и имплантатах.

До и После:

до

после

После До

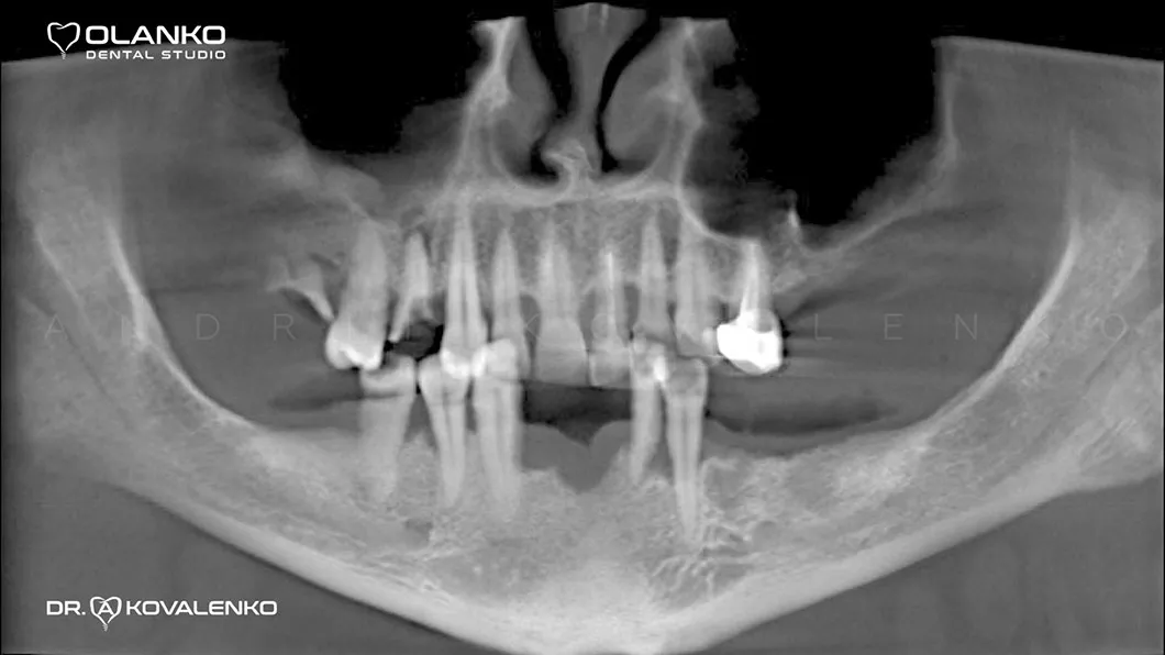
Ситуация до:

Клинический случай 1 имплантация зубов
Клинический случай 1 имплантация зубов
Клинический случай 1 имплантация зубов

Установка имплантатов по шаблону

Клинический случай 1 имплантация зубов

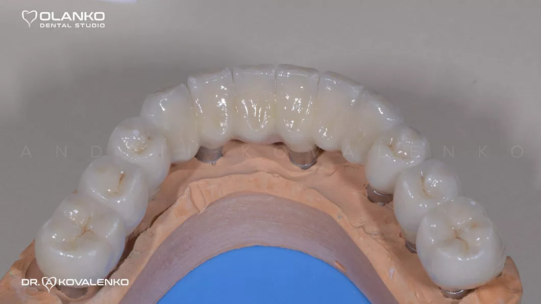
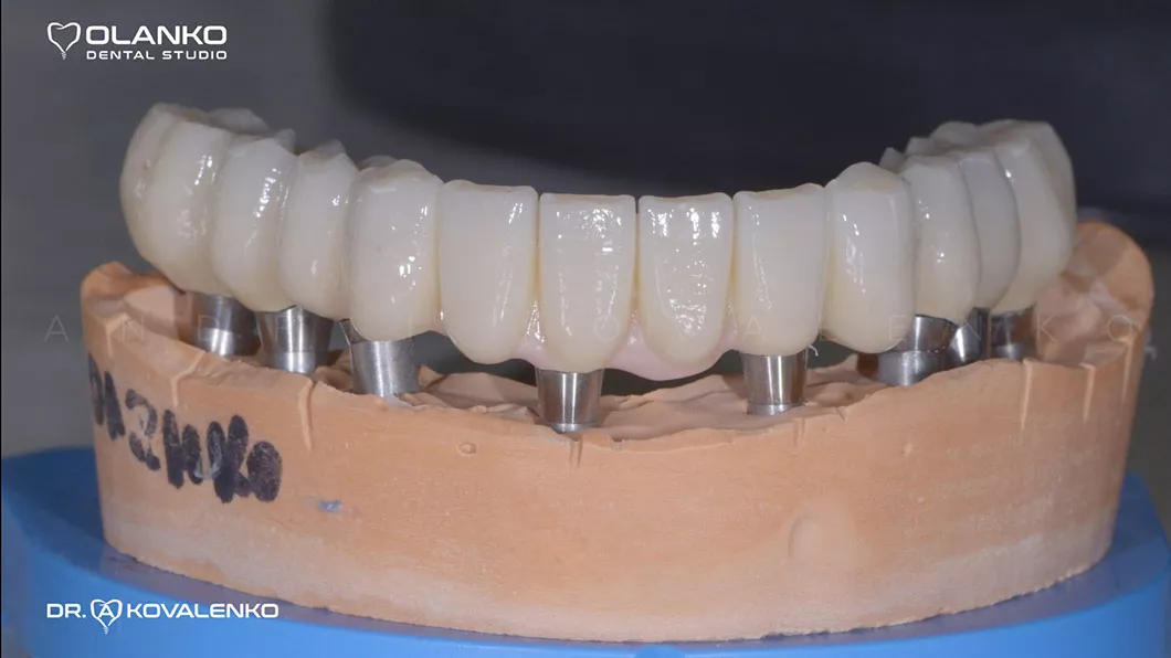
Вид готовых керамических коронок и мостовидных протезов 

Клинический случай 1 имплантация зубов
Клинический случай 1 имплантация зубов
Клинический случай 1 имплантация зубов

Вид в полости рта перед установкой керамических конструкций на имплантатах

Клинический случай 1 имплантация зубов

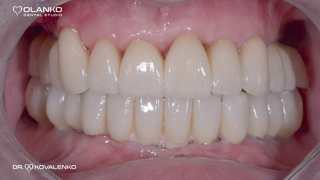
Коронки и мосты зафиксированы на зубы и имплантаты

Клинический случай 1 имплантация зубов
Клинический случай 1 имплантация зубов
Клинический случай 1 имплантация зубов
Клинический случай 1 имплантация зубов

До и После:

до

после

После До

Акция

ЗАПИШИСЬ НА КОНСУЛЬТАЦИЮ И ПОЛУЧИ НАКОПИТЕЛЬНУЮ КАРТУ КЛИЕНТА СО СТАРТОВОЙ СКИДКОЙ 3% ПОСЛЕ ПЕРВОГО ВИЗИТА