Стоматологическая клиника Оланко

Загрузка

`

Стоматологический центр г. Бровары ул.Независимости 17(арка)

0800 330-878 *

*Звонки бесплатные

г. Бровары, б-р Независимости 17 корпус 3 (вход в арку)

Пн-Пт: 09:00 - 18:00

Сб: 09:00 - 18:00

Вс: выходной

0800 330-878 *

*Звонки бесплатные

Клинический случай 3 имплантация зубов

Описание

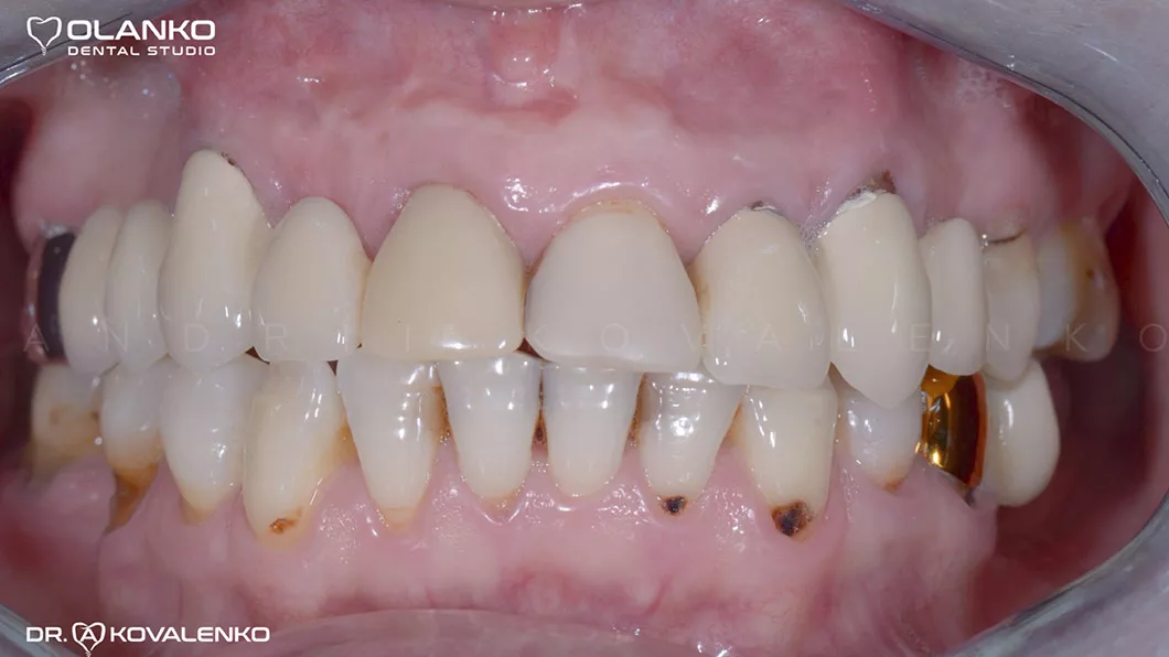
Пациентка обратилась с жалобами на неудовлетворительный внешний вид старых коронок и мостовидных протезов, а так же дискомфорт и боль при жевании, в связи со значительной подвижностью конструкций.

Проведено

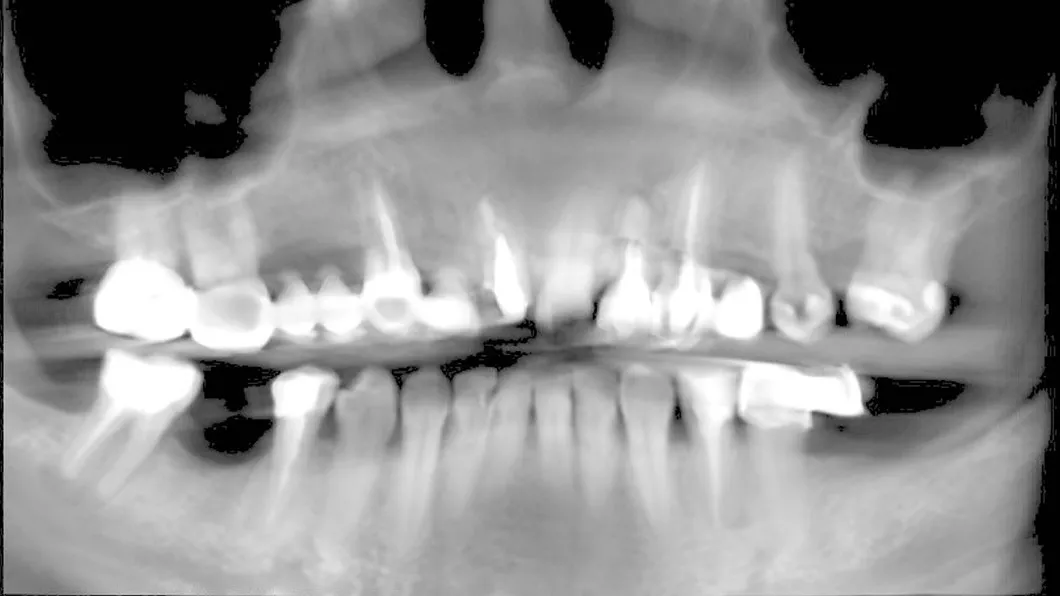
Лечение: снятие старых коронок и мостовидных протезов. Удаление зубов, не подлежащих лечению. Костная пластика и десневая пластика. Установка 3-х зубных имплантатов на верхней челюсти и 2-х имплантатов на нижней челюсти.

Протезирование: цельнокерамическими мостовидными протезами и коронками на зубах, имплантатах.

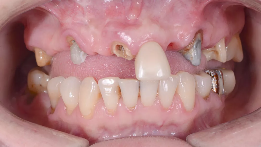
Ситуация до

Клинический случай 3 имплантация зубов
Клинический случай 3 имплантация зубов
Клинический случай 3 имплантация зубов

После снятия старых коронок

Клинический случай 3 имплантация зубов

Установка зубных имплантатов

Клинический случай 3 имплантация зубов

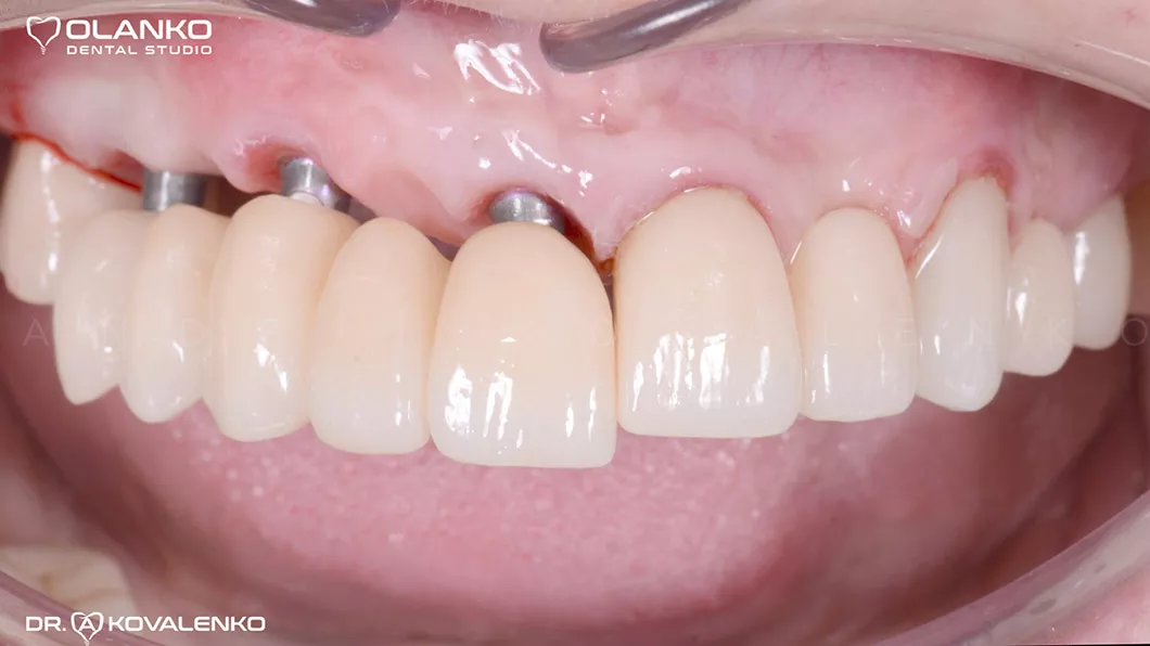
Вид перед установкой керамических коронок на зубах и зубных имплантатах

Клинический случай 3 имплантация зубов

Процесс установки цельнокерамического мостовидного протеза с опорой на имплантаты

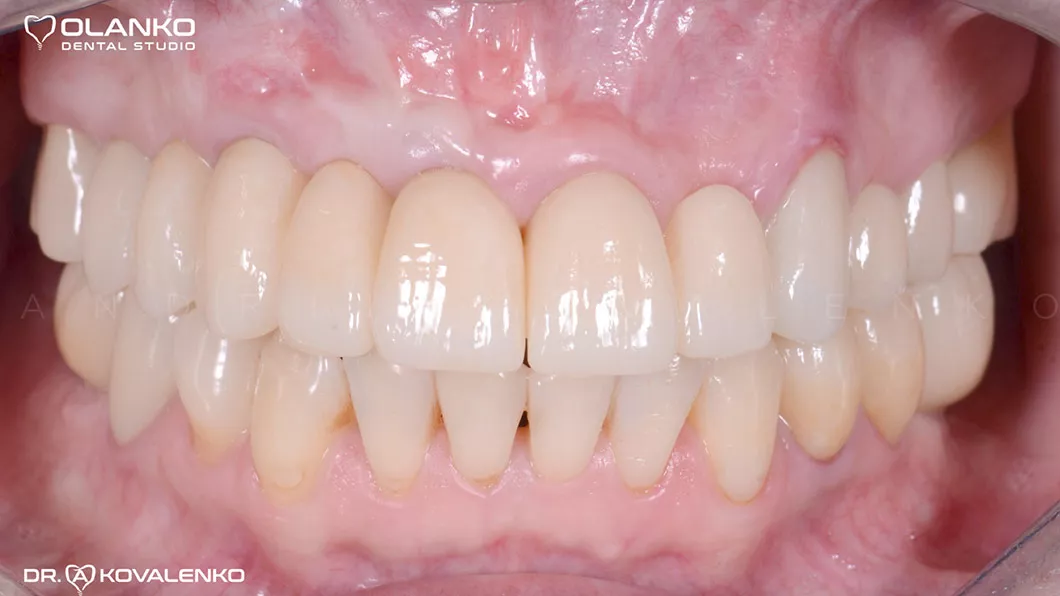
Клинический случай 3 имплантация зубов

Вид после фиксации керамических конструкций

Клинический случай 3 имплантация зубов
Клинический случай 3 имплантация зубов
Клинический случай 3 имплантация зубов

До и после 

до

после

Клинический случай 3 имплантация зубов Клинический случай 3 имплантация зубов

до

после

Клинический случай 3 имплантация зубов Клинический случай 3 имплантация зубов

Акция

ЗАПИШИСЬ НА КОНСУЛЬТАЦИЮ И ПОЛУЧИ НАКОПИТЕЛЬНУЮ КАРТУ КЛИЕНТА СО СТАРТОВОЙ СКИДКОЙ 3% ПОСЛЕ ПЕРВОГО ВИЗИТА