Стоматологическая клиника Оланко

Загрузка

`

Стоматологический центр г. Бровары ул.Независимости 17(арка)

0800 330-878 *

*Звонки бесплатные

г. Бровары, б-р Независимости 17 корпус 3 (вход в арку)

Пн-Пт: 09:00 - 18:00

Сб: 09:00 - 18:00

Вс: выходной

0800 330-878 *

*Звонки бесплатные

Клинический случай 4 имплантация зубов

Описание

Пациент обратился с жалобами на боль и дискомфорт при жевании на нижней челюсти справа.

Проведено

Лечение: удаление 2-х не подлежащих лечению зубов. Установка двух  имплантатов, с последующей установкой цельнокерамических коронок на индивидуальных абатментах.

Фото до и после

до

после

Клинический случай 4 имплантация зубов Клинический случай 4 имплантация зубов

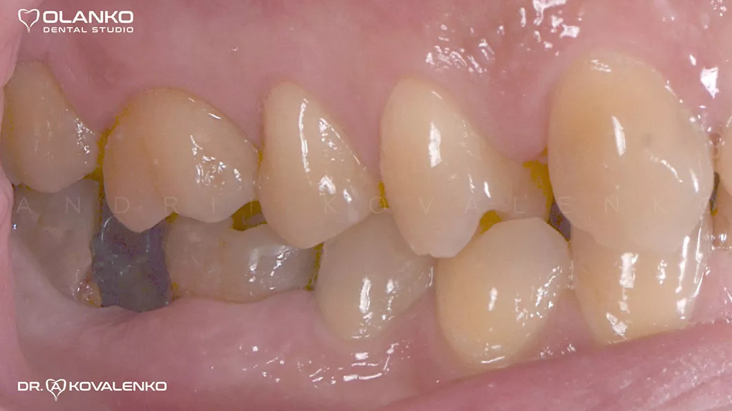
Ситуация до

Клинический случай 4 имплантация зубов
Клинический случай 4 имплантация зубов
Клинический случай 4 имплантация зубов

Вид через 4 месяца после удаления

Клинический случай 4 имплантация зубов

Вид перед установкой коронок через 3 месяца после установки имплантатов

Клинический случай 4 имплантация зубов

Готовые цельнокерамические коронки

Клинический случай 4 имплантация зубов
Клинический случай 4 имплантация зубов

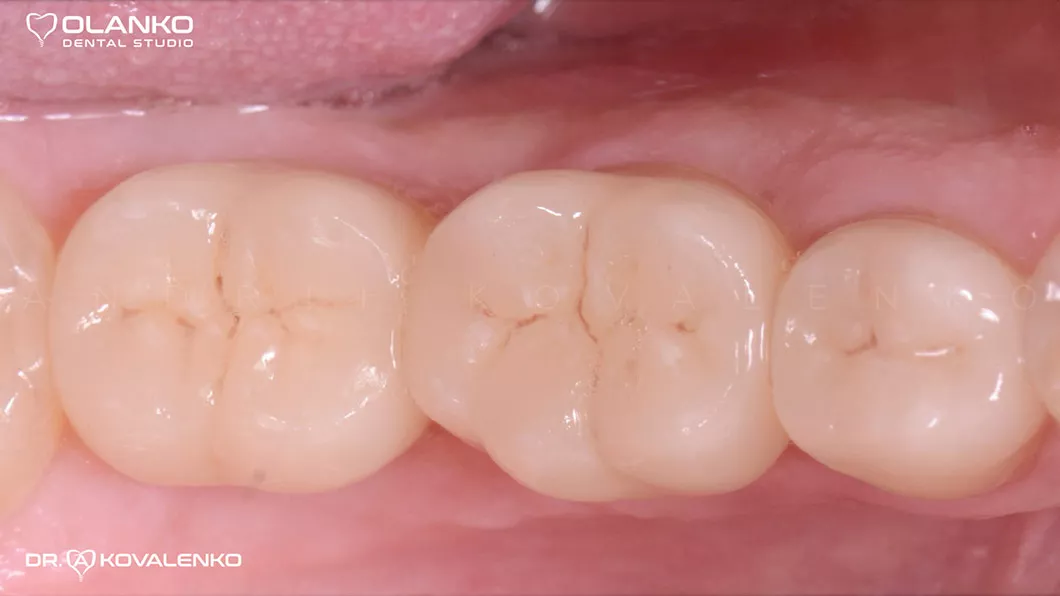
Вид после фиксации коронок

Клинический случай 4 имплантация зубов

Вид после фиксации коронок

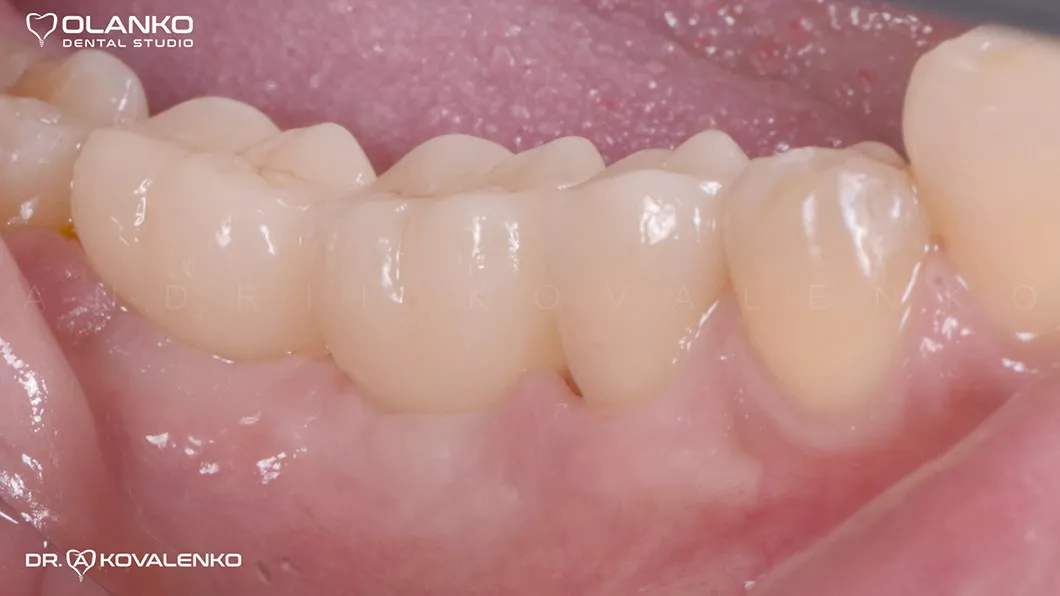
Клинический случай 4 имплантация зубов

Вид после фиксации коронок

Клинический случай 4 имплантация зубов

Фото до и после

до

после

Клинический случай 4 имплантация зубов Клинический случай 4 имплантация зубов

до

после

Клинический случай 4 имплантация зубов Клинический случай 4 имплантация зубов

Акция

ЗАПИШИСЬ НА КОНСУЛЬТАЦИЮ И ПОЛУЧИ НАКОПИТЕЛЬНУЮ КАРТУ КЛИЕНТА СО СТАРТОВОЙ СКИДКОЙ 3% ПОСЛЕ ПЕРВОГО ВИЗИТА