Стоматологическая клиника Оланко

Загрузка

`

Стоматологический центр г. Бровары ул.Независимости 17(арка)

0800 330-878 *

*Звонки бесплатные

г. Бровары, б-р Независимости 17 корпус 3 (вход в арку)

Пн-Пт: 09:00 - 18:00

Сб: 09:00 - 18:00

Вс: выходной

0800 330-878 *

*Звонки бесплатные

Клинический случай 6 имплантация зубов

Описание

Пациент обратился в клинику с жалобами на отсутствие двух жевательных зубов (зубов боковой области)

Проведено

Операция по установке двух зубных имплантатов одномоментно с наращиванием десен и установкой формирователей.

Через три месяца после приживления имплантатов были изготовленны полноанатомические керамические коронки из диоксида циркония, и зафиксированы на имплантатах.

Фото ситуации до установления имплантатов

Клинический случай 6 имплантация зубов
Клинический случай 6 имплантация зубов

Фото имплантата перед установкой в кость

Клинический случай 6 имплантация зубов

Фото вид десны после приживления имплантатов

Клинический случай 6 имплантация зубов

Фото керамических коронок, которые привинчиваются к имплантатам

Клинический случай 6 имплантация зубов

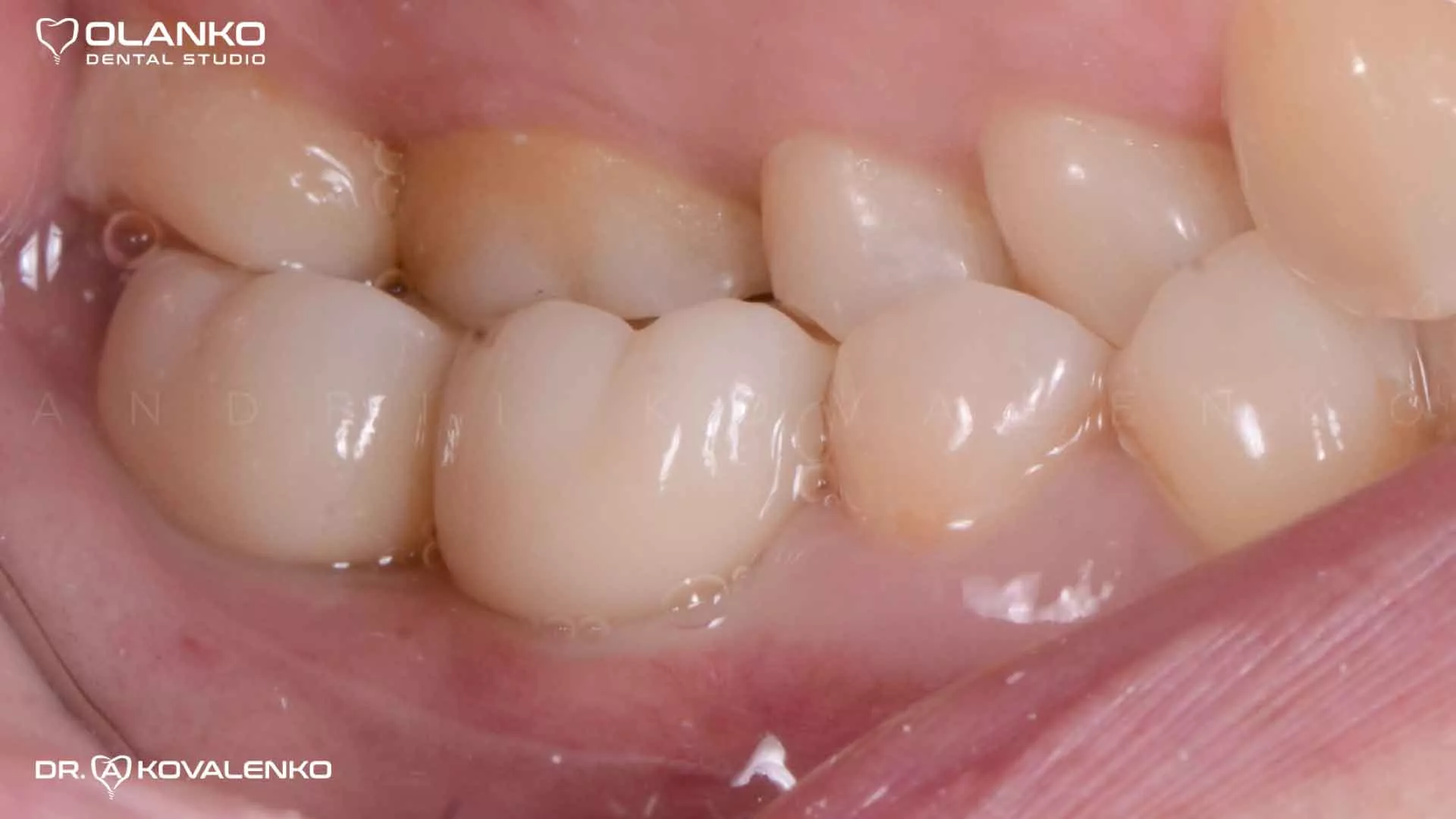
Фото готовых коронок, зафиксированных на имплантатах

Клинический случай 6 имплантация зубов
Клинический случай 6 имплантация зубов

до

после

Клинический случай 6 имплантация зубов Клинический случай 6 имплантация зубов

до

после

Клинический случай 6 имплантация зубов Клинический случай 6 имплантация зубов

Акция

ЗАПИШИСЬ НА КОНСУЛЬТАЦИЮ И ПОЛУЧИ НАКОПИТЕЛЬНУЮ КАРТУ КЛИЕНТА СО СТАРТОВОЙ СКИДКОЙ 3% ПОСЛЕ ПЕРВОГО ВИЗИТА