Стоматологическая клиника Оланко

Загрузка

`

Стоматологический центр г. Бровары ул.Независимости 17(арка)

0800 330-878 *

*Звонки бесплатные

г. Бровары, б-р Независимости 17 корпус 3 (вход в арку)

Пн-Пт: 09:00 - 18:00

Сб: 09:00 - 18:00

Вс: выходной

0800 330-878 *

*Звонки бесплатные

Клинический случай 7 имплантация зубов

Описание

Пациент обратился с жалобой на невозможность жевания и проблему с эстетикой улыбки,в связи с потерей и разрушением 80% зубов в полости рта

Проведено

Проведено цифровое планирование имплантации зубов и изготовление хирургического навигационного шаблона на верхнюю и нижнюю челюсть.

Одномоментно после удаления безнадёжных зубов были установлены десять зубных имплантатов: 6 имплантатов на верхнюю челюсть и 4 имплантата на нижнюю челюсть.

После приживления имплантатов изготовлена цельнокерамическая конструкция из диоксида циркония,  усиленная титановой балкой на верхнюю челюсть и мостовидные конструкции, коронки на зубах и имплантатах на нижнюю челюсть.

Фото ситуация  ДО начала лечения

Клинический случай 7 имплантация зубов
Клинический случай 7 имплантация зубов
Клинический случай 7 имплантация зубов

Фото навигационного хирургического шаблона для точной установки имплантатов на верхнюю челюсть 

Клинический случай 7 имплантация зубов

Фото панорамный рентген снимок сразу после установки имплантатов

Клинический случай 7 имплантация зубов

Фото в полости рта после приживления имплантатов перед установкой керамического протеза 

Клинический случай 7 имплантация зубов

Фото цельноциркониевый керамический протез зубов на винтовой фиксации, усиленный титановой балкой 

Клинический случай 7 имплантация зубов

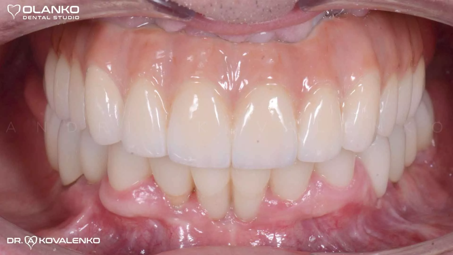
Фото  ПОСЛЕ фиксации работы в полости рта

Клинический случай 7 имплантация зубов

Фото контрольный панорамный рентген снимок после фиксации работы

Клинический случай 7 имплантация зубов

Фото улыбки пациента ПОСЛЕ окончания лечения 

Клинический случай 7 имплантация зубов

до

после

Клинический случай 7 имплантация зубов Клинический случай 7 имплантация зубов

до

после

Клинический случай 7 имплантация зубов Клинический случай 7 имплантация зубов

Акция

ЗАПИШИСЬ НА КОНСУЛЬТАЦИЮ И ПОЛУЧИ НАКОПИТЕЛЬНУЮ КАРТУ КЛИЕНТА СО СТАРТОВОЙ СКИДКОЙ 3% ПОСЛЕ ПЕРВОГО ВИЗИТА