Стоматологическая клиника Оланко

Загрузка

`

Стоматологический центр г. Бровары ул.Независимости 17(арка)

0800 330-878 *

*Звонки бесплатные

г. Бровары, б-р Независимости 17 корпус 3 (вход в арку)

Пн-Пт: 09:00 - 18:00

Сб: 09:00 - 18:00

Вс: выходной

0800 330-878 *

*Звонки бесплатные

Клинический случай 9 имплантация зубов

Описание

Пациентка обратилась с жалобами на невозможность жевания в связи с полным отсутствием зубов на нижней челюсти.

Проведено

Компьютерное планирование операции по установке четырёх зубных имплантатов на нижнюю челюсть.

Изготовление навигационного хирургического шаблона для точной установки имплантатов в челюстную кость.

Установка четырёх зубных имплантатов.

Протезирование по технологии «ВСЁ НА 4» (All in four), прикручиваемый мостовидный протез на титановой фрезерованной балке.

Фото ситуации в полости рта до протезирования 

Клинический случай 9 имплантация зубов
Клинический случай 9 имплантация зубов

Фото хирургического навигационного шаблона спроектированного до операции 

Клинический случай 9 имплантация зубов

Фото процесс установки зубных имплантов по шаблону

Клинический случай 9 имплантация зубов
Клинический случай 9 имплантация зубов

Фото панорамный рентген снимок после установки имплантов

Клинический случай 9 имплантация зубов

Фото вид зубных имплантатов после приживления 

Клинический случай 9 имплантация зубов
Клинический случай 9 имплантация зубов

Фото протез на титановой фрезерованной балке,который прикручивается к имплантатам

Клинический случай 9 имплантация зубов

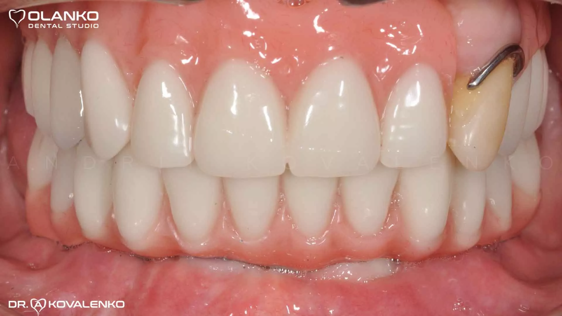
Фото протез установлен прикручен к имплантатам 

Клинический случай 9 имплантация зубов
Клинический случай 9 имплантация зубов

Контрольный рентген снимок точности установки протеза и балки

Клинический случай 9 имплантация зубов

до

после

Клинический случай 9 имплантация зубов Клинический случай 9 имплантация зубов

до

после

Клинический случай 9 имплантация зубов Клинический случай 9 имплантация зубов

Акция

ЗАПИШИСЬ НА КОНСУЛЬТАЦИЮ И ПОЛУЧИ НАКОПИТЕЛЬНУЮ КАРТУ КЛИЕНТА СО СТАРТОВОЙ СКИДКОЙ 3% ПОСЛЕ ПЕРВОГО ВИЗИТА