Стоматологическая клиника Оланко

Загрузка

`

Стоматологический центр г. Бровары ул.Независимости 17(арка)

0800 330-878 *

*Звонки бесплатные

г. Бровары, б-р Независимости 17 корпус 3 (вход в арку)

Пн-Пт: 09:00 - 18:00

Сб: 09:00 - 18:00

Вс: выходной

0800 330-878 *

*Звонки бесплатные

Клинический случай 3 Керамические виниры(коронки)

Описание

Жалобы на неудовлетворительную улыбку и цвет зубов.Неправильный прикус и скученность зубов.Болевые ощущения во время приёма пищи.

Проведено

Комплексная диагностика с составлением поэтапного плана лечения.

Лечение кариеса и корневых каналов под микроскопом.Установка зубного имплантата.

Ортодонтическое лечение брекет системой для нормализации прикуса и положения зубов перед протезированием.

Цифровое планирование улыбки и формы зубов, изготовление прототипа из композитного материала.

Полное тотальное протезирование керамическими винирами и коронками.

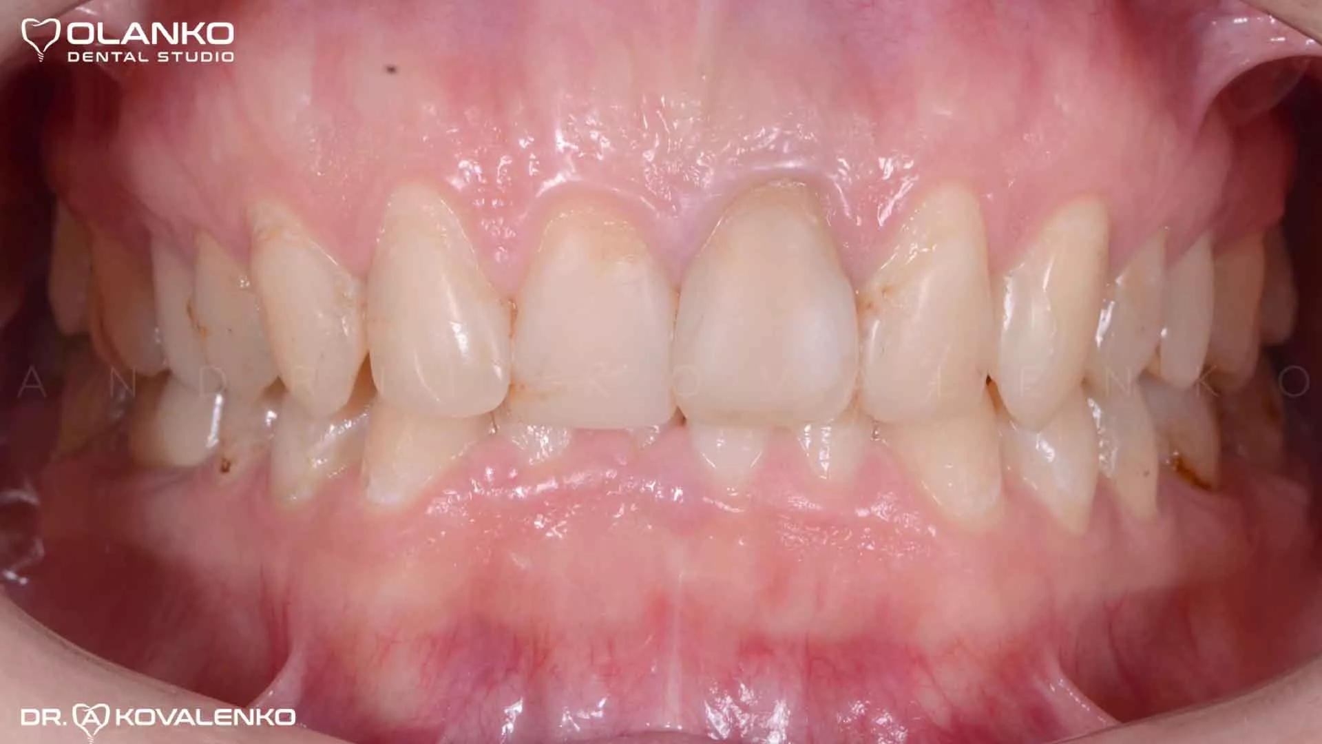
Фото зубов в прикусе до начала лечения

Клинический случай 3 Керамические виниры(коронки)

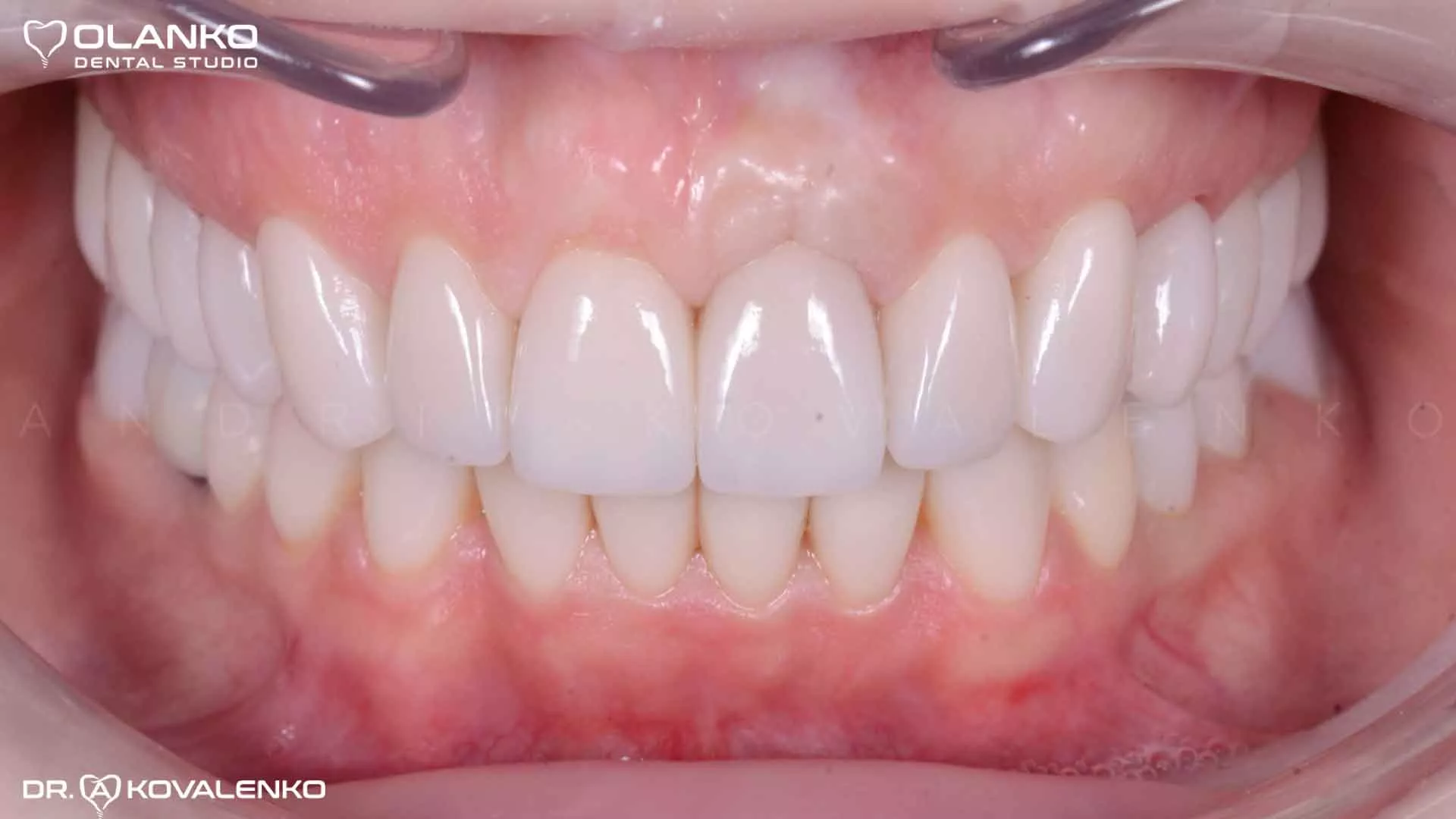
Фото зубов в прикусе после протезирования винирами и корнками 

Клинический случай 3 Керамические виниры(коронки)

Фото улыбки до протезирования 

Клинический случай 3 Керамические виниры(коронки)

Фото улыбки после протезирования 

Клинический случай 3 Керамические виниры(коронки)

до

после

Клинический случай 3 Керамические виниры(коронки) Клинический случай 3 Керамические виниры(коронки)

Акция

ЗАПИШИСЬ НА КОНСУЛЬТАЦИЮ И ПОЛУЧИ НАКОПИТЕЛЬНУЮ КАРТУ КЛИЕНТА СО СТАРТОВОЙ СКИДКОЙ 3% ПОСЛЕ ПЕРВОГО ВИЗИТА