Стоматологическая клиника Оланко

Загрузка

`

Стоматологический центр г. Бровары ул.Независимости 17(арка)

0800 330-878 *

*Звонки бесплатные

г. Бровары, б-р Независимости 17 корпус 3 (вход в арку)

Пн-Пт: 09:00 - 18:00

Сб: 09:00 - 18:00

Вс: выходной

0800 330-878 *

*Звонки бесплатные

Клинический случай 5 Керамические виниры(коронки)

Описание

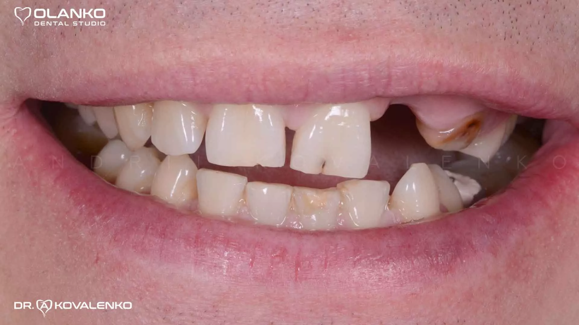
Неудовлетворительный вид улыбки, снижение высоты прикуса и полная потеря зуба (бокового резца) в эстетической области

Проведено

Комплексная диагностика.

Лечение корневых каналов под микроскопом и восстановление разрушенных зубов.

Установлены три зубных имплантата с костной пластикой и пластикой десны.

Изготовлено 28 керамических коронок и виниров, которые были фиксированными на зубах и имплантатах.

Фото улыбки до начала лечения

Клинический случай 5 Керамические виниры(коронки)
Клинический случай 5 Керамические виниры(коронки)

Фото готовых керамических виниров и коронок

Клинический случай 5 Керамические виниры(коронки)
Клинический случай 5 Керамические виниры(коронки)

Фото вид улыбки после окончания лечения, виниры и коронкы зафиксированы

Клинический случай 5 Керамические виниры(коронки)
Клинический случай 5 Керамические виниры(коронки)

до

после

Клинический случай 5 Керамические виниры(коронки) Клинический случай 5 Керамические виниры(коронки)

до

после

Клинический случай 5 Керамические виниры(коронки) Клинический случай 5 Керамические виниры(коронки)

Акция

ЗАПИШИСЬ НА КОНСУЛЬТАЦИЮ И ПОЛУЧИ НАКОПИТЕЛЬНУЮ КАРТУ КЛИЕНТА СО СТАРТОВОЙ СКИДКОЙ 3% ПОСЛЕ ПЕРВОГО ВИЗИТА