Стоматологическая клиника Оланко

Загрузка

`

Стоматологический центр г. Бровары ул.Независимости 17(арка)

0800 330-878 *

*Звонки бесплатные

г. Бровары, б-р Независимости 17 корпус 3 (вход в арку)

Пн-Пт: 09:00 - 18:00

Сб: 09:00 - 18:00

Вс: выходной

0800 330-878 *

*Звонки бесплатные

Костная пластика

Стоимость услуг.Цена на наращивание костной ткани.

3D костная пластика альвеолярного отростка (без костного материала)

от 4200,00 грн

Закрытый синус-лифтинг

8200,00 грн

Открытый синус-лифтинг

от 16500,00 грн

Наращивание костной ткани для зубов

Атрофия — это прогрессирующая убыль костной ткани, которая сопровождается уменьшением ширины и высоты альвеолярного гребня. Развивается после удаления зуба и является самым распространённым препятствием для установки зубного имплантата.

Атрофия — это прогрессирующая убыль костной ткани | Оланко Бровары Киев
Наращивание костной ткани Оланко Бровары, Киев

Специалисты Olanko dental studio (Оланко) г. Бровары рекомендуют проводить операцию по установке зубного имплантата в максимально ранний период после удаления проблемного зуба (от 3 до 6 месяцев), или использовать методику имплантации одномоментно с удалением зуба тогда, когда есть условия для проведения такой операции. Но если убыль костной ткани уже наступила, мы прибегаем к использованию хирургического восстановления объёмов костной ткани — костной пластике.

Костная пластика

Костная пластика – это хирургическая операция, которая позволяет восстановить объём челюстной кости, для будущей зубной имплантации, с помощью костной ткани, взятой в донорских зонах у пациента, или искусственного костнопластического материала, а также смеси костных материалов.

Костная пластика Оланко Бровары Киев
Наращивание костной ткани стоимость Бровары Киев

Операция костной пластики

Операция костной пластики может выполнятся как самостоятельно, так и совместно с установкой зубного имплантата.

Специалисты Olanko dental studio (Оланко) г. Бровары, при выборе метода костной пластики, проводят детальный анализ компьютерной томографии и виртуально расставляют положение будущих имплантатов в специальном программном обеспечении IMPLANT STUDIO 3Shape.

Операция костной пластики Оланко Бровары Киев
Наращивание кости для имплантов Оланко Бровары Киев
Наращивание кости для зубных имплантов Оланко Киев Бровары

В Olanko dental studio (Оланко) г. Бровары мы выполняем весь спектр операций костной пластики на верхней и нижней челюсти, а так же наращиваем костную ткань в области гайморовой пазухи (верхнечелюстного синуса).

Костная пластика методом открытого синус-лифтинга

*Фотографии с наличием крови были переведены в черно-белый формат

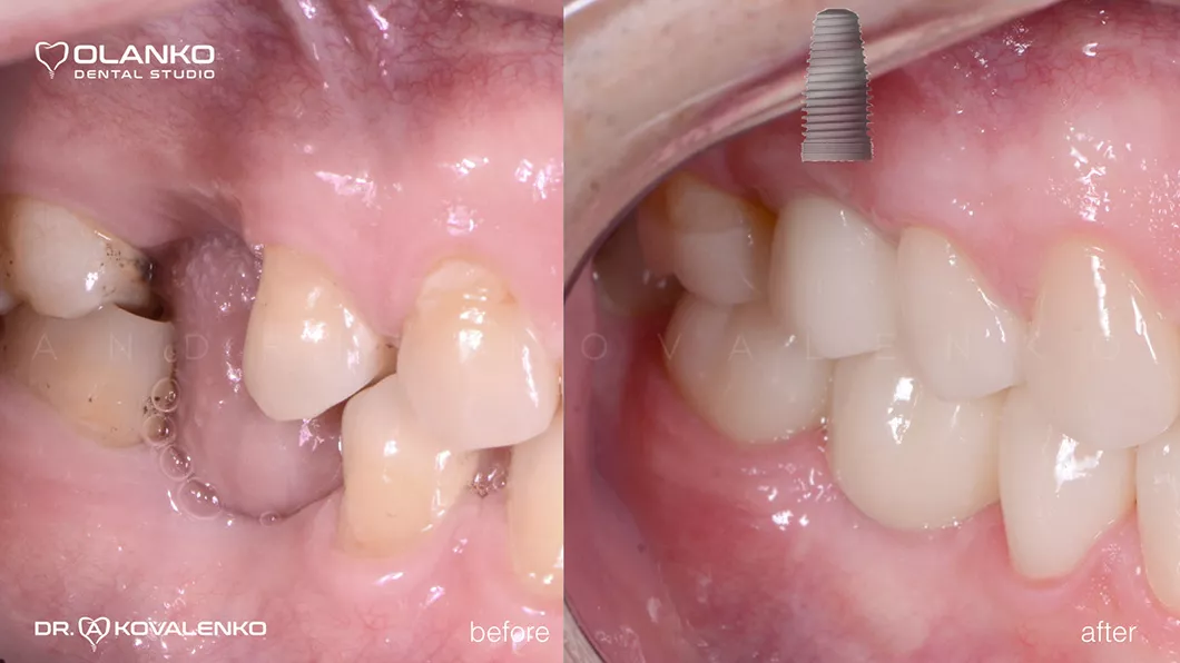
Ситуация после установки коронки ДО/ПОСЛЕ

Ситуация после установки коронки до и после Оланко Бровары Киев
Наращивание кости для имплантов Оланко Бровары Киев
Наращивание костной ткани на верхней челюсти Оланко Бровары Киев
Наращивание костной ткани на нижней челюсти Оланко Бровары Киев
Наращивание костной ткани на нижней челюсти Оланко Бровары Киев
Наращивание костной ткани Оланко Бровары Киев
Наращивание костной ткани челюсти Оланко Бровары Киев
Установка имплантата после наращивание костной ткани Оланко Бровары Киев
Установка коронки после наращивание костной ткани челюсти Оланко Бровары Киев

Метод закрытого синус-лифтинга

Метод закрытого синус-лифтинга  наращивание костной ткани стоимость
Метод закрытого синус-лифтинга Этап 2
Метод закрытого синус-лифтинга Этап 3
Метод закрытого синус-лифтинга Этап 4

Акция

 НАЖИМАЙ И ПОЛУЧИ СКИДКУ 3% НА ВСЕ ВИДЫ УСЛУГ

 

Сообщение отправленно

Акция

ЗАПИШИСЬ НА КОНСУЛЬТАЦИЮ И ПОЛУЧИ НАКОПИТЕЛЬНУЮ КАРТУ КЛИЕНТА СО СТАРТОВОЙ СКИДКОЙ 3% ПОСЛЕ ПЕРВОГО ВИЗИТА