Стоматологічна клініка Оланко

Завантаження

`

Стоматологічний центр м. Бровари вул.Незалежності 17(арка)

0800 330-878 *

*Дзвінки безкоштовні

м. Бровари, бул. Незалежності, 17, корпус 3 (вхід в арку)

Пн-Пт: 09:00 - 18:00

Сб: 09:00 - 18:00

Нд: вихідний

0800 330-878 *

*Дзвінки безкоштовні

Клінічний випадок 1 Керамічні вініри(коронки)

Опис

Скарги пацієнта на незадовільний зовнішній вигляд і дискомфорт в області 4-х фронтальних зубів, запалення ясенного краю.

Проведено

Лікування: зняття незадовільних металокерамічних коронок і композитних реставрацій. Повторне лікування кореневих каналів і відновлення культі зуба композитом армованим скловолокном.

Протезування: препарування під штучні безметалеві коронки Е-max. Фіксація коронок на композитний цемент.

Перший прийом

Клінічний випадок 1 Керамічні вініри(коронки)
Клінічний випадок 1 Керамічні вініри(коронки)

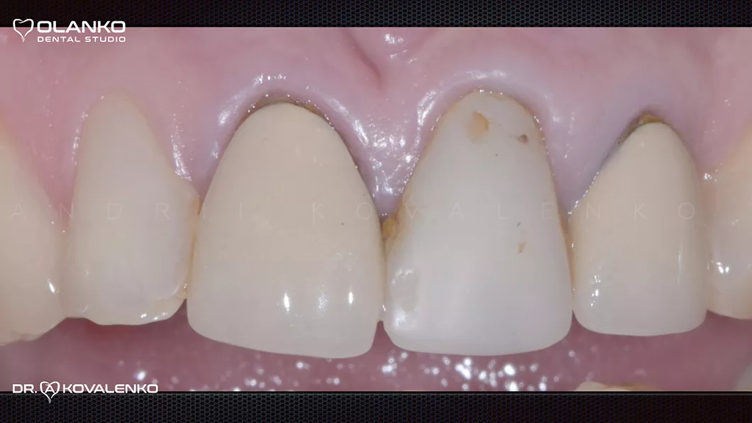
Зуби відновлені та відпрепаровані

Клінічний випадок 1 Керамічні вініри(коронки)

Готові коронки

Клінічний випадок 1 Керамічні вініри(коронки)

Коронки зафіксовані

Клінічний випадок 1 Керамічні вініри(коронки)

До та після

до

після

Клінічний випадок 1 Керамічні вініри(коронки) Клінічний випадок 1 Керамічні вініри(коронки)

Акція

НАТИСНИ І ОТРИМАЙ ЗНИЖКУ 3% НА УСІ ВИДИ ПОСЛУГ

 

Повідомлення відправлено

Акція

ЗАПИШИСЬ НА КОНСУЛЬТАЦІЮ ТА ОТРИМАЙ НАКОПИЧУВАЛЬНУ КАРТКУ КЛІЄНТА ЗІ СТАРТОВОЮ ЗНИЖКОЮ 3% ПІСЛЯ ПЕРШОГО ВІЗИТУ