Стоматологическая клиника Оланко

Загрузка

`

Стоматологический центр г. Бровары ул.Независимости 17(арка)

0800 330-878 *

*Звонки бесплатные

г. Бровары, б-р Независимости 17 корпус 3 (вход в арку)

Пн-Пт: 09:00 - 18:00

Сб: 09:00 - 18:00

Вс: выходной

0800 330-878 *

*Звонки бесплатные

Клинический случай 1 Керамические виниры(коронки)

Описание

Жалобы пациента на неудовлетворительный внешний вид и дискомфорт в области 4-х фронтальных зубов, воспаление десневого края.

Проведено

Лечение: снятие несостоятельных металлокерамических коронок и композитных реставраций. Повторное лечение корневых каналов и восстановление культи зуба композитом, армированным стекловолокном.

Протезирование: препарирование под искусственные безметалловые коронки Е-max. Фиксация коронок на композитный цемент.

Первый прием

Клинический случай 1 Керамические виниры(коронки)
Клинический случай 1 Керамические виниры(коронки)

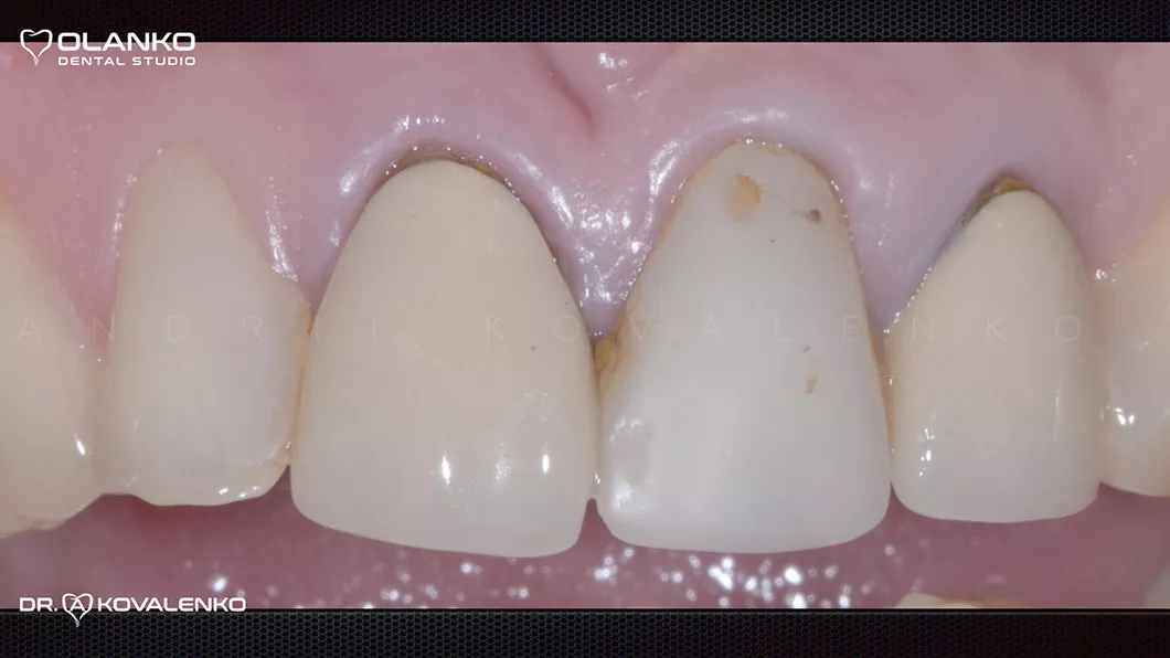
Зубы восстановлены и отпрепарированы

Клинический случай 1 Керамические виниры(коронки)

Готовые коронки

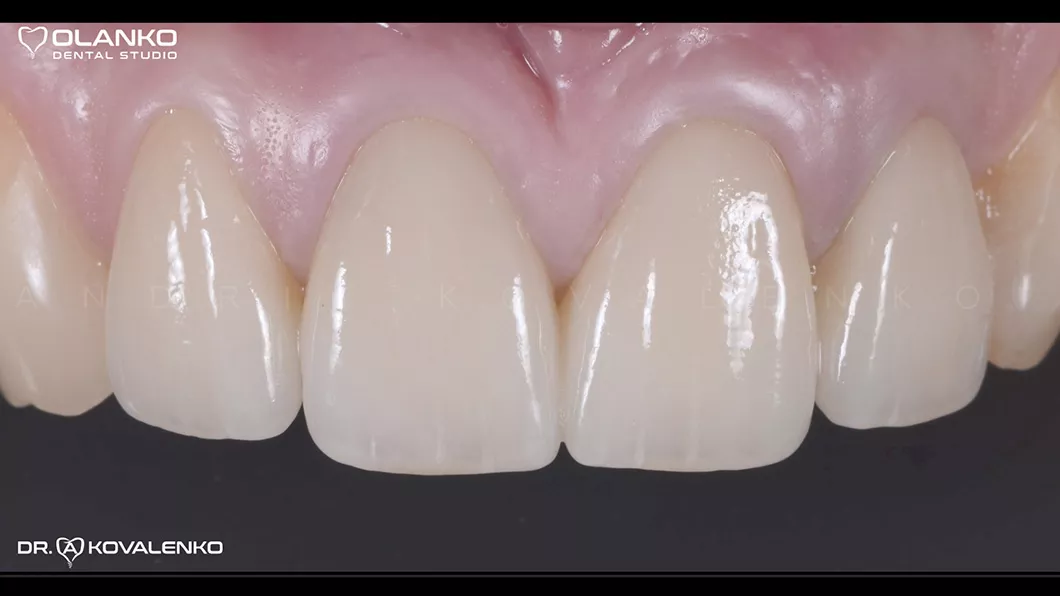
Клинический случай 1 Керамические виниры(коронки)

Коронки зафиксированны

Клинический случай 1 Керамические виниры(коронки)

До/После

до

после

Клинический случай 1 Керамические виниры(коронки) Клинический случай 1 Керамические виниры(коронки)

Акция

 НАЖИМАЙ И ПОЛУЧИ СКИДКУ 3% НА ВСЕ ВИДЫ УСЛУГ

 

Сообщение отправленно

Акция

ЗАПИШИСЬ НА КОНСУЛЬТАЦИЮ И ПОЛУЧИ НАКОПИТЕЛЬНУЮ КАРТУ КЛИЕНТА СО СТАРТОВОЙ СКИДКОЙ 3% ПОСЛЕ ПЕРВОГО ВИЗИТА