Завантаження
Авторська стоматологія в м. Бровари
м. Бровари, бул. Незалежності, 17, корпус 3 (вхід в арку)
Пн-Пт: 09:00 - 21:00
Сб: 09:00 - 20:00
Нд: вихідний
*Дзвінки безкоштовні
Первинне лікування кореневих каналів
від 9500,00 грн
Повторне лікування кореневих каналів
від 10500,00 грн
ВІДЕО ЛІКУВАННЯ КОРЕНЕВИХ КАНАЛІВ ЗУБА ПІД МІКРОСКОПОМ ТА ПОДАЛЬШИМ ВІДНОВЛЕННЯ ЗУБА КЕРАМІЧНОЮ КОРОНКОЮ

до
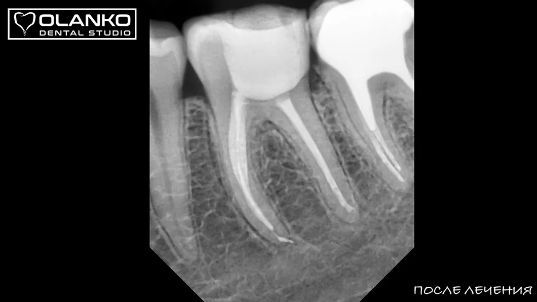
після
до
після
На сьогоднішній день, лікування зубів з використанням мікроскопу — це золотий стандарт світової стоматологічної практики. Складна система кореневих каналів має дуже малий діаметр та індивідуальну анатомію, тому лікар, який працює без збільшення, майже на дотик, не може якісно їх пролікувати.
Важливою перевагою Olanko dental studio (Оланко) м. Бровари є виконання всіх етапів лікування кореневих каналів тільки під контролем операційного дентального мікроскопу!
Фото до лікування
Для лікування простих клінічних випадків, як правило, потрібен всього один візит 1,5-2,5 години.
Складні випадки переліковування кореневих каналів, каналів зі складною анатомією, вимагають 2-3 візитів.
Ми маємо величезний клінічний досвід лікування зубів зі складною анатомією (викривленими, склерозованими каналами), а також повторного переліковування каналів з кістою, гранульомами, зламаними інструментами, з подальшими відмінними результатами загоєння хронічних запалень.

Апікальна(ендодонтична) мікрохірургія - це зубозберігаюча операція, яка проводиться в ділянці верхівки кореня зуба, за допомогою хірургічного доступу через кістку, при цьому видалється інфікована частина кореня і зуб герметично пломбується ретроградно, через хірургічну рану. Вся операція проходить з використанням дентального мікроскопу і біосумісних матеріалів.
Показами до данної операциї являються ті клінічні випадки, при яких стандартне ендодонтичне лікування кореневих каналів не далопозитивного результату далопозитивного результату або в зубі є блоки, які не дають, якісно обробити кореневий такі як сходинки, зламані інструменти, атипова анатомія.
Також показами є істинні кісти та інфекція поза кореневим каналом на які ми не можемо вплинути через консервативне ендодонтичне лікування.
Цей метод можна використовувати, якщо в зубі є велика штифтова конструкція або нова коронка і їхній демонтаж може суттєво пошкодити його.
ПРИКЛАД УСПІШНОГО ВИДАЛЕННЯ КІСТИ ЗУБА В СТОМАТОЛОГІЧНОМУ ЦЕНТРІ OLANKO DENTAL STUDIO
Часто апікальна хірургія є єдиним способом уникнути видалення зуба.
Переваги цього методу полягають в тому, що за доволі короткий проміжок часу проходить загоєння рани і досить швидко пацієнт проходить період відновлення. Операція проводиться в одін візит, протягом 1-2 години і ви виходите з тим же цілим, збереженим зубом.
Ендодонтична мікрохірургія радикально відрізняється від операції резекції верхівки кореня, бо проводиться по значно покращеному протоколу, який включає в себе етапи перевірки кореня, очищення канала зі зворотньої сторони і герметичним пломбуванням. Цей метод більш складний технічно але дозволяє збільшити успіх лікування з 50 до 90%
Будемо раді вирішити проблему кісти зуба в нашому стоматологічному центрі OLANKO DENTAL STUDIO
НАТИСНИ І ОТРИМАЙ ЗНИЖКУ 3% НА УСІ ВИДИ ПОСЛУГ