Загрузка
Стоматологический центр г. Бровары ул.Независимости 17(арка)
г. Бровары, б-р Независимости 17 корпус 3 (вход в арку)
Пн-Пт: 09:00 - 18:00
Сб: 09:00 - 18:00
Вс: выходной
*Звонки бесплатные
Первичное лечение корневых каналов
от 8500,00 грн
Повторное лечение корневых каналов
от 9500,00 грн
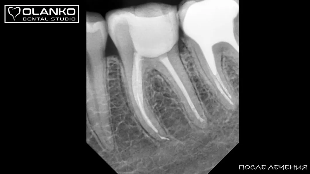
ВИДЕО ЛЕЧЕНИЯ КОРНЕВЫХ КАНАЛОВ ЗУБА ПОД МИКРОСКОПОМ С ПОСЛЕДУЮЩИМ ВОССТАНОВЛЕНИЕМ КЕРАМИЧЕСКОЙ КОРОНКОЙ

до
после
до
после
Лечение корневых каналов зуба с использованием микроскопа, на сегодняшний день, является золотым стандартом мировой стоматологической практики. Сложная система корневых каналов в зубе имеет очень малый диаметр и индивидуальную анатомию, поэтому врач, работающий без увеличения, не может качественно очистить и найти все корневые каналы на ощупь.
Важным преимуществом Olanko dental studio (Оланко) г. Бровары является то, что выполнение всех этапов лечения корневых каналов мы проводим только под контролем операционного дентального микроскопа!
На примере перелечивания корневых каналов верхнего жевательного зуба
&
Для лечения простых клинических случаев, как правило, требуется всего один визит длительностью 1,5-2,5 часа.
Сложные случаи перелечивания корневых каналов, искревлённых каналов со сложной анатомией, требуют 2-3 визитов.
Мы имеем огромный клинический опыт лечения зубов со сложной анатомией (искривлёнными, склерозированными каналами), а также повторного перелечивания каналов с кистами, гранулемами, сломанными инструментами, с последующими отличными результатами заживления очагов хронического воспаления.

Апикальная (эндодонтическая) микрохирургия – это зубосберегающая операция, проводимая в участке верхушки корня зуба, с помощью хирургического доступа через кость, при этом удаляется инфицированная часть корня и зуб герметично пломбируется ретроградно, через хирургическую рану. Вся операция проходит с использованием дентального микроскопа и биосовместимых материалов.
Показаниями к данной операции являются те клинические случаи, при которых стандартное эндодонтическое лечение корневых каналов не дало положительного результата.
или в зубе есть блоки, которые не дают, качественно обработать корневые такие как ступени, сломанные инструменты, атипичная анатомия.
Также показаниями есть истинные кисты и инфекция вне корневого канала, на которые мы не можем повлиять консервативным эндодонтическим лечением.
Этот метод можно использовать, если в зубе имеется большая штифтовая конструкция или новая коронка и их демонтаж может повредить его.
ПРИМЕР УСПЕШНОГО УДАЛЕНИЯ КИСТЫ ЗУБА В СТОМАТОЛОГИЧЕСКОМ ЦЕНТРЕ OLANKO DENTAL STUDIO
Часто апикальная хирургия является единственным способом избежать удаления зуба.
Преимущества этого метода заключаются в том, что за довольно короткий промежуток времени проходит заживление раны и пациент быстро проходит период восстановления. Операция проводится в один визит, в течение 1-2 часов и вы выходите с тем же целым, сохраненным зубом.
Эндодонтическая микрохирургия радикально отличается от операции резекции верхушки корня, так как выполняется по значительно улучшенному протоколу, включающему в себя этапы проверки корня, очищение канала с обратной стороны и герметичного пломбирования.
Этот метод более сложен технически, но позволяет увеличить успех лечения с 50 до 90%.
Операция проводится методом навигационной хирургии с использованием хирургических шаблонов, что позволяет избежать ошибок, точно рассчитать место доступа и максимально сохранить здоровые ткани.
Будем рады помочь избавиться от проблемы кисты зуба в OLANKO DENTAL SYUDIO
НАЖИМАЙ И ПОЛУЧИ СКИДКУ 3% НА ВСЕ ВИДЫ УСЛУГ