Стоматологічна клініка Оланко

Завантаження

`

Стоматологічний центр м. Бровари вул.Незалежності 17(арка)

0800 330-878 *

*Дзвінки безкоштовні

м. Бровари, бул. Незалежності, 17, корпус 3 (вхід в арку)

Пн-Пт: 09:00 - 18:00

Сб: 09:00 - 18:00

Нд: вихідний

0800 330-878 *

*Дзвінки безкоштовні

Функціонально-естетичне протезування зубів

Вініри ціна.Вартість протезування зубів Бровари

Віртуальне воскове моделювання, 1 зуб

1050,00 грн

Аналіз естетичний (Цифрове планування посмішки, DSD)

2940,00 грн

Вінір керамічний ЕСТЕТІК

від 23 200,00 грн

Перегляньте відео про планування посмішки перед встановленням вінірів

Функціонально-естетичне протезування зубів

Функціонально-естетичне (тотальне) протезування зубів це:

Комплекс стоматологічних маніпуляцій, спрямованих на відновлення багатьох дефектів зубів і зубних рядів, які проявляються незадовільним виглядом посмішки, порушеннями жувальної функції та дисфункцією скронево-нижньощелепного суглоба.

Відновлення зубних рядів в Olanko dental studio (Оланко) м. Бровари виконуються за найсучаснішими протоколами, з використанням зубних імплантатів, суцільно-керамічних коронок, накладок та вінірів.

Фото посмішки до та після реконструкції за допомогою вінірів та коронок

до

після

Фото посмішки до реконструкції за допомогою вінірів Оланко Бровари Київ Фото посмішки до реконструкції за допомогою вінірів та коронок Оланко Бровари Київ

Основні покази до даного виду протезування

  • Стирання окремих зубів (в тому числі, патологічна), або всіх груп зубів, повне стирання жувальних горбів зубів бічної групи, а також ріжучих країв передніх зубів;
  • Наявність великої кількості пломб і старих коронок, які за естетичними параметрами функціональності та якості фіксації на зубах, не відповідають сучасним вимогам множинних механічних пошкоджень зубів у вигляді: відколів, тріщин, відсутність або втрата зубів, груп зубів, які привели до виникнення зубощелепних деформацій;
  • Естетичні дефекти щілин між зубами (треми, діастеми), а також порушення кольору і форми зубів, дисфункція скронево-нижньощелепного суглоба.

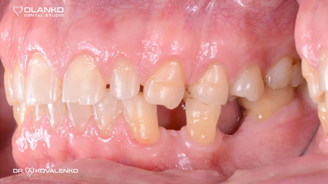
Фото зубів та стану прикусу до та після реконструкції вінірами та коронками з цільної кераміки

до

після

Фото зубів та стану прикусу до реконструкції вінірами та коронками з цільної кераміки Оланко Бровари Київ Фото зубів та стану прикусу до реконструкції вінірами та коронками з цільної кераміки Оланко Бровари Київ

Даний вид протезування зубів вимагає комплексного (мульти-дисциплінарного) підходу до планування та лікування

У Olanko dental studio (Оланко) м. Бровари такі роботи виконуються командою спеціалістів: терапевт-ендодонтист, хірург-імплантолог, ортодонт і стоматолог-ортопед.

Цифровий дизайн посмішки

Можливість побачити проект Вашої майбутньої посмішки ще до початку робіт!

Так! Завдяки сучасним цифровим технологіям - це можливо!

Даний етап в Olanko dental studio (Оланко) м. Бровари ми проводимо всім пацієнтам, перед реконструкцією посмішки керамічними вінірами та коронками.

Чому це важливо ?!

  1. Така методика дозволяє проаналізувати форму та параметри запланованих вінірів в поєднанні з посмішкою, обличчям.
  2. Ви можете взяти участь в роботі над дизайном форми та кольору разом з лікарем.
  3. Майбутній макет дозволяє спеціалісту побачити, наскільки мінімально буде необхідно зішліфувати зуб, щоб отримати найкращий результат.

Як це відбувається?!

Процес створення дизайну посмішки. Етапи

Фотосесія обличчя, посмішки та зубних рядів

Процес створення дизайну посмішки. Етапи Фото Оланко Бровари Київ
Процес створення дизайну посмішки для протезування зубів Оланко Бровари Київ

Створення контурного проекту в програмі

Створення контурного проекту в програмі Оланко Бровари Київ
Процес створення дизайну посмішки Оланко Бровари Київ

Моделювання і 3D друк моделі з новою формою зубів. Виготовлення силіконового ключа

Моделювання і 3D друк моделі з новою формою зубів. Виготовлення силіконового ключа Оланко
Моделювання і 3D друк моделі з новою формою зубів Оланко Бровари Київ

Перенесення нової форми зубів (макета) на зуби і повторна фотосесія для аналізу результата

Перенесення нової форми зубів (макета) на зуби і повторна фотосесія для аналізу результата

Фото до та після примірки макета перед встановленням вінірів

Фото до примірки макета перед встановленням вінірів Оланко Бровари Київ

Акція

НАТИСНИ І ОТРИМАЙ ЗНИЖКУ 3% НА УСІ ВИДИ ПОСЛУГ

 

Повідомлення відправлено

Акція

ЗАПИШИСЬ НА КОНСУЛЬТАЦІЮ ТА ОТРИМАЙ НАКОПИЧУВАЛЬНУ КАРТКУ КЛІЄНТА ЗІ СТАРТОВОЮ ЗНИЖКОЮ 3% ПІСЛЯ ПЕРШОГО ВІЗИТУ