Стоматологическая клиника Оланко

Загрузка

`

Стоматологический центр г. Бровары ул.Независимости 17(арка)

0800 330-878 *

*Звонки бесплатные

г. Бровары, б-р Независимости 17 корпус 3 (вход в арку)

Пн-Пт: 09:00 - 18:00

Сб: 09:00 - 18:00

Вс: выходной

0800 330-878 *

*Звонки бесплатные

Функционально-эстетическое протезирование зубов

Виниры цена.Стоимост протезирования зубов Бровары.

Виртуальное восковое моделирование, 1зуб

от 735,00 грн

Анализ эстетический (Цифровое планирование улыбки,DSD)

от 1985,00 грн

Винир керамический ЭСТЕТИК

от 13560,00 грн

Смотрите видео о планировании улыбки перед установкой виниров

Функционально-эстетическое протезирование зубов

Функционально-эстетическое (тотальное) протезирование зубов

Функционально-эстетическое (тотальное) протезирование — это комплекс стоматологических манипуляций, направленных на восстановление множественных дефектов зубов и зубных рядов, которые проявляются неудовлетворительным внешним видом улыбки, нарушениями жевательной функции и дисфункцией височно-нижнечелюстного сустава.

Восстановление зубных рядов в Olanko dental studio (Оланко) г. Бровары выполняются по самым современным протоколам, с использованием зубных имплантатов, цельно-керамических коронок, накладок и виниров.

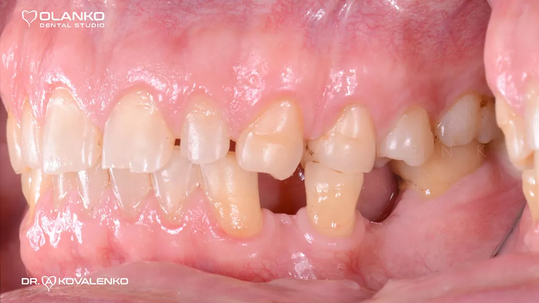
Фото улыбки до и после реконструкции с помощью керамических виниров и коронок

до

после

 Функционально-эстетическое (тотальное) протезирование зубов Оланко Бровары Киев  Функционально-эстетическое протезирование зубов Оланко Бровары Киев

Основные показаниями к данному виду протезирования зубов

  • Стираемость отдельных зубов (в том числе, патологическая), или всех групп зубов, полное стирание жевательных бугров зубов боковой группы, а также стертость режущих краев передних зубов;
  • Наличие множественных пломб и старых коронок, которые по эстетическим параметрам функциональности и качеству фиксации на зубах, не отвечают современным требованиям множественных механических повреждений зубов в виде: сколов, трещин, отсутствие или потеря зубов, групп зубов, которые привели к возникновению зубочелюстных дефоромаций;
  • Эстетические дефекты щели между зубами (тремы, диастемы), а также нарушение цвета и формы зубов, дисфункция височно-нижнечелюстного сустава.

Фото зубов и состояния прикуса до и после реконструкции винирами и коронками из цельной керамики

до

после

Протезирование зубов имплантами после Оланко Бровары Киев Протезирование зубов имплантами ДО Оланко Бровары Киев

Данный вид протезирования зубов требует комплексного (мультидисциплинарного) подхода к планированию и лечению

В Olanko dental studio (Оланко) г. Бровары такие работы выполняются командой специалистов: терапевт-эндодонтист, хирург-имплантолог, ортодонт и стоматолог-ортопед.

Цифровой дизайн улыбки

Возможность увидеть проект Вашей будущей улыбки ещё до начала работ!

Да! Благодаря современным цифровым технологиям — это возможно!

Данный этап в Olanko dental studio (Оланко) г. Бровары мы проводим всем пациентам, перед реконструкцией улыбки керамическими винирами и коронками.

Почему это важно?!

  1. Такая методика позволяет проанализировать форму и параметры планируемых виниров в сочетании с улыбкой, лицом.
  2. Вы можете принять участие в работе над дизайном формы и цвета вместе с доктором.
  3. Будущий макет позволяет доктору увидеть, насколько минимально необходимо сошлифовать зуб, чтобы получить наилучший результат.

Как это происходит?

Процесс создания дизайна улыбки. Этапы:

Фотосессия лица, улыбки и зубных рядов

Фотосессия лица, улыбки и зубных рядов Данный вид протезирования зубов
Фото протезирование зубов, цена | Оланко Бровары, Киев

Создание контурного проекта в программе

Создание контурного проекта в программе протезирование зубов, цена, Оланко Бровары, Киев
Тотальное протезирование зубов, цена, Оланко Бровары, Киев

Моделирование и 3D печать модели с новой формой зубов. Изготовление силиконового ключа

Моделирование и 3D печать модели с новой формой зубов. Изготовление силиконового ключа
Моделирование и 3D печать модели с новой формой зубов. Изготовление силиконового ключа Фото 2

Перенос новой формы зубов (макета) на зубы и повторная фотосессия для анализа результата

Перенос новой формы зубов (макета) на зубы и повторная фотосессия для анализа результата

Фото до и после примерки макета будущих виниров

Фото после примерки макета будущих виниров Реставрация зубов Бровары Киев Оланко

Акция

 НАЖИМАЙ И ПОЛУЧИ СКИДКУ 3% НА ВСЕ ВИДЫ УСЛУГ

 

Сообщение отправленно

Акция

ЗАПИШИСЬ НА КОНСУЛЬТАЦИЮ И ПОЛУЧИ НАКОПИТЕЛЬНУЮ КАРТУ КЛИЕНТА СО СТАРТОВОЙ СКИДКОЙ 3% ПОСЛЕ ПЕРВОГО ВИЗИТА