Стоматологическая клиника Оланко

Загрузка

`

Стоматологический центр г. Бровары ул.Независимости 17(арка)

0800 330-878 *

*Звонки бесплатные

г. Бровары, б-р Независимости 17 корпус 3 (вход в арку)

Пн-Пт: 09:00 - 18:00

Сб: 09:00 - 18:00

Вс: выходной

0800 330-878 *

*Звонки бесплатные

Протезирование зубов all on 4, all on 6

Протезирование зубов all on 4, all on 6

Протезирование на 4 или 6 имплантах - это современная технология восстановления зубов при полной адентии с оптимальными финансовыми затратами в сочетании с отличным комфортом и эстетикой улыбки  в сравнении с другими видами протезирования беззубых челюстей. Так столкнувшись с проблемой полного отсутствия зубов, либо сильно поврежденных, разрушенных зубов, которые не подлежат реставрации, пациенты неизбежно прибегают к протезированию. 

 

Первый вариант восстановить весь зубной ряд с помощью имплантов и последующей установки коронок, однако он может вылиться в неподъемную для пациента сумму. Второй вариант - установка съемного протеза. 

 

Ещё не так давно наиболее распространённым решением восстановления и протезирования зубов, при полном отсутствии зубов, были достаточно неудобные съемные протезы, которые изготавливались из полимерных пластмасс и фиксировались лишь за счет «прилипания» к поверхности дёсен челюстей.

 

Такие протезы неудобны в эксплуатации, могут вызывать дискомфорт при жевании, разговоре, а также требуют частых коррекций и даже замены, вследствие давления на кость, при которой возникает атрофия (убыль костной ткани под протезом), и как результат неудовлетворительная фиксация на челюсти.

 

Если выбирать вариант доступного несъемного или частично съемного протезирования -  лучшим выходом будет протезирование по системе all on 4, all on 6.

 

Данная концепция all on 4, all on 6 была разработана компанией Nobel Biocare более 20 лет назад, что позволяет, спустя годы, утверждать, о ее эффективности и надежности. 

Впервые лечение по данной системе провел доктор Paulo Malo еще в 1998 году, применив импланты Nobel Biocare. Успех данной операции сделал методику All-on-4 известной, и сегодня ее применяют многие ведущие стоматологические центры во всём мире! Однако, эффективность данной технологии напрямую связана с использованием имплантатов “Nobel Biocare”.

Несмотря на то, что многие производители пытались копировать инновационную концепцию лечения адентии с установкой имплантов под углом, только Nobel Biocare проводили научные исследования, которые доказывают ее успешность и только Nobel Biocare располагают опросными опубликованными данными результатов этих исследований. 

Стоматологический центр Olanko Dental Studio использует исключительно оригинальные и проверенные решения в соответствии с протоколом протезирования компании Nobel Biocare, что позволяет нам гарантировать качество проведенного восстановления челюсти и длительный срок службы установленного протеза.
 

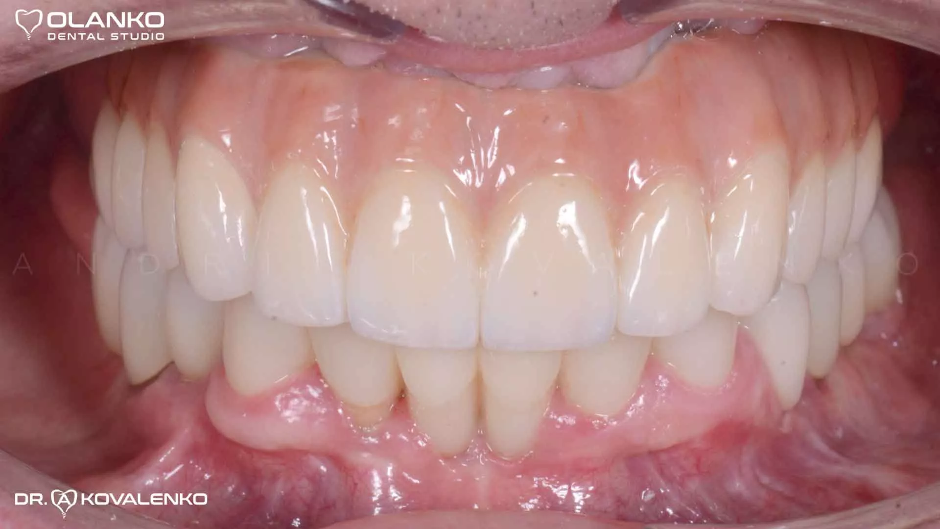
Фото пример работы протезирования при полном отсутствии зубов на шести имплантатах на верхней челюсти Оланко

Показания к протезированию по системе “все на 4, все на 6”

 

Как уже упоминалось, показаниями к проведению такого вида протезирования будет полное отсутствие зубов или адентия, либо частичное отсутствие зубов, в том случае когда оставшиеся зубы подлежат удалению по медицинским показаниям,например при генерализованном пародонтите(пародонтозе) с сильной подвижностью зубов или зубы настолько разрушены,что не подлежат восстановлению

 

Протезирование по системе all on 4 проводиться при дефиците костной ткани и позволяет восстановить зубной ряд с помощью протеза из 10-12 зубов. Это помогает восстановить жевательную функцию и эстетику улыбки. Часто данная методика применяется при лечении пожилых пациентов, для того чтобы минимизировать оперативное вмешательство и сократить восстановительный период. 

Фото пример работы по установке четырёх имплантатов на нижней челюсти Оланко Бровары Киев

Фото пример протезирования беззубой челюсти на четырёх имплантах

Протезирование зубов all on 4, all on 6

Особенности протезирования по системе all on 4, all on 6

 

Протезирование по системе all on 4 предполагает установку несъемного зубного протеза на четырех титановых штифтах (имплантах), которые вживляют в челюстную кость. 

Как в верхней так и в нижней челюстях импланты вживляются по специальной схеме - два в переднем отделе челюсти параллельно друг к другу вертикально, и еще два в дистальном отделе челюсти под углом в 45 градусов. Последние имеют особую конструкцию, что позволяет установить протез прямо. 

Для того чтобы применить данную методику необходимо, чтобы во фронтальном отделе челюсти был достаточный объем костной ткани. Тогда протезирование можно провести без дополнительных оперативных вмешательств таких как костная пластика.

Фото пример после установки шести имплантатов на верхнюю челюсть

Фото пример после установки шести имплантатов на верхнюю челюсть Оланко Бровары Киев

После вживления имплантов переходят к протезированию несъемным протезом из 10 или 12 зубов. В некоторых случаях для полного восстановления жевательной функции и эстетичной линии улыбки используют частично съемный протез из 14 зубов. Однако, это может доставлять неудобства ведь протез необходимо в последующем снимать и чистить. Если же пациент хочет установить несъемный протез на 14 зубов ему предлагают протезирование по системе all on 6. 

Протезирование по системе “все на шести” предполагает вживление шести имплантатов в верхнюю и нижнюю челюсти. При этом два импланта устанавливают во фронтальном отделе челюсти и еще четыре в область боковых коренных зубов. С помощью протезирование all on 6 можно заместить сразу 28 зубов, что будет несомненным преимуществом для пациента. 

При атрофии кости применяя методику протезирования на 6 имплантатах используют более длинные имплантаты для вживления их в скуловую область челюсти, что позволяет избежать операции по наращиванию кости. При этом протезы надежно фиксируются на челюсти.

Фото цельно-керамический протез, усиленный фрезерованной титановой балкой на шести имплантатах

Фото цельно-керамический протез, усиленный фрезерованной титановой балкой на шести имплантатах Оланко Бровары Киев

Преимущества протезирования по системе all on 4, all on 6

 

Среди бесспорных преимущества протезирования на четырех либо шести имплантах будет стоимость. Но кроме того, такая методика восстановления беззубой челюсти позволяет:

 

- Быстро и с минимальными затратами по времени восстановить все зубы. 

- Получить ровную и красивую улыбку.

- Улучшить качество жизни, предотвратить ряд заболеваний, которые возникают вследствии потери зубов и нарушении жевательной функции.

- Минимизировать хирургические вмешательства, стоматологу необходимо всего лишь установить 4 либо 6 имплантов точечно, что возможно также провести одномоментно с удалением оставшихся зубов. 

 

Протезирование зубов на 4 или 6 имплантах в клинике Olanko Dental Studio

 

Благодаря внедрению самых современных технологий протезирования на имплантатах команда врачей Olanko dental studio сможет решить самые сложные проблемы по восстановлению жевательной функции и эстетики на беззубых челюстях.

 

Без сомнения Olanko dental studio одна из лучших стоматологических клиник, которые проводят протезирование по системе all on 4, all on 6. Имея большой опыт, множество успешных кейсов мы предлагаем Вам ряд преимуществ. которые вы получите, обратившись к нам. И именно:

 

- Лучшая команда хирургов-имплантологов с опытом работы более 10 лет!

- Современный диагностический комплекс. Наша клиника оборудована последним компьютерным 3D томографом.

- Планирование операций проводится исключительно цифровым методом с установкой имплантатов по шаблону!

- Мы используем только сертифицированные системы зубных имплантатов от мировых лидеров.

- В нашем центре широко применима одномоментная имплантация сразу после удаления безнадёжных зубов!

- Во многих случаях возможна непосредственная нагрузка на установленные имплантаты, когда пациенту устанавливаются зубы в день операции или в сроки 7-10 дней после имплантации.

 

Стоимость протезирования зубов по системе all on 4, all on 6

 

На стоимость работ по установке и протезированию на имплантатах влияет ряд факторов:

- Количество имплантатов: четыре, шесть или более зависит от клинической ситуации.

- Нам производитель зубных имплантатов

- Нужна ли предварительная костная пластика и пластика десны

- Конструкция протеза: съёмный или несъёмный

- Материал протеза: акриловый или керамический

- Материал каркаса: литой или фрезерованный.

Точную стоимость протезирования Вы сможете узнать, обратившись за консультацией к стоматологу в нашу клинику. Врач назначит необходимые обследования, после чего составит план лечения и сможет назвать цену предстоящих процедур.

до

после

Имплантация при полном отсутствии зубов Стоматология Оланко Бровары Киев Имплантация при полном отсутствии зубов Стоматология - Оланко Бровары Киев

Акция

 НАЖИМАЙ И ПОЛУЧИ СКИДКУ 3% НА ВСЕ ВИДЫ УСЛУГ

 

Сообщение отправленно

Акция

ЗАПИШИСЬ НА КОНСУЛЬТАЦИЮ И ПОЛУЧИ НАКОПИТЕЛЬНУЮ КАРТУ КЛИЕНТА СО СТАРТОВОЙ СКИДКОЙ 3% ПОСЛЕ ПЕРВОГО ВИЗИТА