Загрузка
Авторская стоматология
г. Бровары, б-р Независимости 17 корпус 3 (вход в арку)
Пн-Пт: 09:00 - 21:00
Сб: 09:00 - 20:00
Вс: выходной
*Звонки бесплатные
Закрытый кюретаж пародонтальных карманов 1 зуб
760,00 грн
Чистка зубов PERIO (скалинг ультразвуковой + AirFlow Perio+ щётка с профпастой + штрипс + кюретаж)
3075,00 грн
Лечение аппаратом "VECTOR" первичное 2 челюсти
5800,00 грн
Лечение аппаратом "VECTOR" поддерживающее 2 челюсти
2880,00 грн
Плазмотерапия. Инъекции для дёсен. 1 челюсть
2210,00 грн

Состояние зубов, их прочность и устойчивость, а так же качество эмали, напрямую зависят от состояния костной ткани и десны вокруг. Челюстная кость, десна и связка, которая удерживает зуб, называются пародонтом.
Проникновение инфекции в десну, а затем в кость вокруг зуба, приводит к развитию воспалительного процесса, называемого пародонтитом.
По данным ВОЗ (Всемирной организации здравоохранения), распространённость этого заболевания достигает отметки 95% населения и является основною причиною потери зубов у человека!
Основные факторы риска возникновения заболеваний пародонта (пародонтоза):
Пародонтит – это системное заболевание. Оно поражает комплекс тканей, которые окружают зуб и удерживают его в зубной лунке.
На конечной стадии развития болезни можно наблюдать устрашающие признаки пародонтита:
Одна из главных опасностей в том, что на ранних стадиях парадонтит сложно обнаружить, поскольку патологический процесс проявляется слабо и увидеть его невооруженным глазом сложно.
Пациенты могут не заметить первых признаков заболевания, а уже столкнувшись с угрозой — лишиться зубов в результате воспалительного процесса. Они начинают теряться в догадках: откуда пришла проблема?
Следует знать, что пародонтит не возникает мгновенно, ему всегда предшествует гингивит – заболевание, которое можно считать первым этапом развития пародонтита.
Гингивит – это воспаление десен из-за плохой гигиены полости рта, курения, авитаминоза, снижения иммунитета, бактериальных и вирусных заболеваний верхних дыхательных путей, нарушения гормонального фона, травматического прикуса. Может возникнуть у пациентов любого возраста, так как его возбудители находятся в ротовой полости каждого здорового человека, но высокий иммунитет не дает развиться заболеванию далее. Гингивит возникает тогда, когда снижается сопротивляемость организма к инфекционным агентам: Bacteroides gingivalis, Streptococcus oralis, Actinomycetes comitans и Porphyromonas gingivalis.
В группу риска входят пациенты:
Ничтожно малые кусочки пищи, оставшиеся во рту после трапезы, являются благодатной средой для роста и развития инфекции. Если не чистить зубы после еды, бактерии начнут быстро размножаться и образуют мягкий налет. Он, в свою очередь, нарушает естественный защитный барьер. Зуб становится уязвимым и начинается воспалительный процесс.
Для того, чтобы предотвратить гингивит, необходимо регулярно чистить зубы, язык, десна, внутренние поверхности щек. Дополнительно следует очищать нитями зубные промежутки. Пациентам, находящимся в группе риска, рекомендуются полоскания антисептическими растворами.
Обнаружив симптомы болезни, следует незамедлительно обратиться за помощью к врачу пародонтологу, иначе гингивит может преобразоваться в пародонтит.
Микробы ротовой полости способны постоянно выделять желеподобные липкие вещества, закрепляться с их помощью и создавать мягкий налет. Если не удалить зубной налет он быстро увеличится, затвердеет и превратится в зубной камень. Нарост твердых отложений опасен для человека. Он раздражает десневые борозды, мешает обмену веществ и является причиной следующих осложнений:
Патогенные микроорганизмы очень быстро проникают в полости, образовавшиеся в результате отслоения слизистой, и провоцируют кровоточивость десен.
Образование зубного камня происходит в течение нескольких месяцев и зависит от личной гигиены человека. По месту расположения различают: наддесневой и поддесневой зубной камень. Существует несколько способов удаления зубнных камней. Такая процедура проводится стоматологом-пародонтологом при помощи специального оборудования и инструментов.
Удаление камня в домашних условия категорически не рекомендуется, так как может привести к травме эмали и мягких тканей.
Гингивит и пародонтит являются серьезными стоматологическими заболеваниями, которые негативно влияют на весь организм. Благодаря активному кровообращению в области головы и шеи, патогенные бактерии в полости рта могут разноситься по всем органам и тканям, и вызывать острые хронические заболевания.
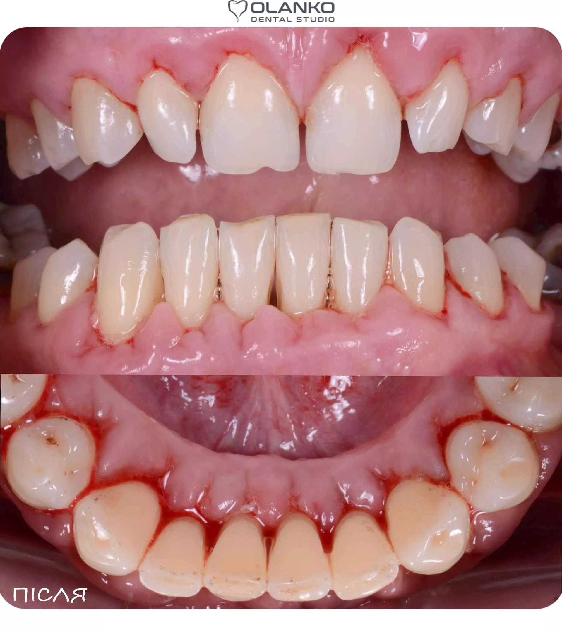
Состояние зубов и дёсен в первый визит после начала лечения
Пародонтоз и пародонтит доставляют не только эмоциональный и физический дискомфорт, но и сами по себе становятся причиной возникновения и развития хронических системных заболеваний организма. Более того, последние исследования показали, что пациенты с тяжелой формой пародонтита и пародонтоза находятся в группе риска летального исхода из-за длительной интоксикации и воспаления лимфатической системы.
На сегодняшний день, пародонтит является одним из самых распространенных заболеваний, и если Вы обнаружили хотя бы один из вышеперечисленных симптомов – незамедлительно обращайтесь за стоматологической помощью!
Специалисты клиники Olanko dental studio (Оланко) г. Бровары предоставляют широкий спектр эффективных методик по лечению и профилактике пародонтита. Благодаря современному оборудованию и высокому уровню профессионализма, мы поможем сохранить и поддержать здоровье Ваших зубов.
Большое внимание наши стоматологи уделяют ранней диагностике и профилактике пародонтита. Все пациенты проходят диспансеризацию с обязательными гигиеническими чистками не меньше одного раз в 6 месяцев.
Пример значительной потери костной ткани более 50% при пародонтите
Мы используем как консервативные, так и хирургические методы лечения пародонтита.
Первый и самый важный этап — это диагностика, которая позволяет определить тяжесть заболевания и назначить правильное эффективное лечение.
Диагностика заболеваний дёсен включает в себя следующие этапы:
При лёгких формах гингивита и пародонтита достаточно провести следующие лечебные мероприятия:
Для лечения более сложных форм пародонтита (c глубиной карманов 4-5 мм) мы используем ручные пародонтологические кюреты Грейси — для качественной и эффективной очистки карманов, межзубных пространств.
Такое лечение проходит в следующей последовательности:
Лечение дёсен аппаратом Вектор (VECTOR) мы применяем в своей практике вот уже более 10-ти лет!
Этот уникальный аппарат был разработан компанией DURR DENTAL (Германия) для щадящего и деликатного лечения: гингивита, пародонтита и периимплантита.
Принцип работы аппарата построен на очистке поверхности корня, пародонтального кармана от бактериальной биоплёнки, мягкой полировке поверхности корня. Очистка осуществляется за счёт эффекта ультразвуковой кавитации. При этом на рабочую часть инструмента подаётся специальный запатентованный раствор (Vector Fluid Polish).
Раствор и насадка не оказывают травмирующего влияния на корень и прилегающие ткани, так как аппарат не создаёт хаотических и колебательных движений. Работа насадки направлена строго параллельно поверхности корня с вертикальным отклонением 90 градусов.
Лечебный эффект наши пациенты могут почувствовать буквально после первой процедуры!
Метод Вектор (VECTOR) является неотъемлемой частью комплексного лечения гингивита и пародонтита.
НАЖИМАЙ И ПОЛУЧИ СКИДКУ 3% НА ВСЕ ВИДЫ УСЛУГ