Завантаження
Авторська стоматологія в м. Бровари
м. Бровари, бул. Незалежності, 17, корпус 3 (вхід в арку)
Пн-Пт: 09:00 - 21:00
Сб: 09:00 - 20:00
Нд: вихідний
*Дзвінки безкоштовні
Закритий кюретаж парадонтальних кишень 1 зуба
930,00 грн
Комплексна читска Perio (Роторозширювач, скейлінг ультразвуковий, AirFlow Perio-Glicine, штрипси, щітка з проф.пастою, кюретаж, флюоризація)
4600,00 грн
Лікування аппаратом "VECTOR" первинне 2 щелепи
7400,00 грн
Лікування аппаратом "VECTOR" підтримуюче 2 щелепи
3700,00 грн
Плазмотерапія. Ін'єкції для ясен. 1 щелепа
3000,00 грн

Стан зубів, їх міцність, стійкість, а також якість емалі безпосередньо залежать від стану кісткової тканини та ясен навколо. Щелепна кістка, ясна та зв'язка, яка утримує зуб, називаються пародонтом.
Проникнення інфекції в ясна, а потім і в кістку навколо зуба, призводять до розвитку запального процесу, званого пародонтитом. Тому регулярні гігієнічні стоматологічні процедури повинні проводитись мінімум раз на рпівроку.
За даними ВООЗ (Всесвітньої організації охорони здоров'я), поширеність цього захворювання досягає позначки 95% серед населення, та є головною причиною втрати зубів у людини!
Основні фактори ризику виникнення захворювань пародонту (пародонтозу):
• погана гігієна;
• куріння;
• неправильний прикус;
• неякісні зубні коронки та протези;
• стрес;
• захворювання шлунково-кишкового тракту;
• гормональні порушення;
• цукровий діабет;
• генетична схильність.
Пародонтит - це системне захворювання. Воно вражає комплекс тканин, які оточують зуб і утримують його в зубній лунці.
На кінцевій стадії розвитку хвороби можна спостерігати страхітливі ознаки пародонтиту:
• неприємний запах з рота;
• кровоточивість ясен;
• сильна рухливість зубів у всіх напрямках;
• рясне скупчення твердого зубного каменю навколо зубів;
• біль при жуванні;
• свербіж, печіння, лихоманка;
• хвороблива реакція на термічні подразники;
• слабкість, температура, психологічні проблеми.
Головна небезпека в тому, що на ранніх стадіях парадонтит складно виявити, оскільки патологічний процес проявляється слабо і побачити його неозброєним оком досить складно.
Пацієнти не помічають перших ознак захворювання, а вже зіткнувшись із загрозою — можуть позбутися зубів, в результаті запального процесу. Вони починають губитися в здогадах: звідки з’явилася дана проблема?
Слід знати, що пародонтит не виникає миттєво, йому завжди передує гінгівіт — захворювання, яке можна вважати першим етапом розвитку пародонтиту.
Гінгівіт — це запалення ясен через погану гігієну ротової порожнини, куріння, авітамінозу, зниження імунітету, бактеріальних і вірусних захворювань верхніх дихальних шляхів, порушення гормонального фону, травматичного прикусу. Може виникнути у пацієнтів будь-якого віку, так як його збудники перебувають у ротовій порожнині кожної здорової людини, але високий імунітет не дає розвинутися захворюванню далі. Гінгівіт виникає тоді, коли знижується опірність організму до інфекційних агентів: Bacteroides gingivalis, Streptococcus oralis, Actinomycetes comitans і Porphyromonas gingivalis.
До групи ризику входять пацієнти:
Навіть найменші шматочки їжі, що залишилися в роті після трапези, є сприятливим середовищем для зростання та розвитку інфекцій. Якщо не чистити зуби після їжі, бактерії почнуть швидко розмножуватися та утворять м'який наліт, який порушує природний захисний бар'єр. Зуб стає вразливим і починається запальний процес.
Для того, щоб запобігти гінгівіту, необхідно регулярно чистити зуби, язик, ясна, внутрішні поверхні щік. Додатково слід очищати ниткою міжзубні проміжки. Пацієнтам, які знаходяться в групі ризику, рекомендується полоскання антисептичними розчинами.
Виявивши симптоми хвороби, слід негайно звернутися за допомогою до лікаря пародонтолога, інакше гінгівіт може перетворитися в пародонтит.
Мікроби ротової порожнини здатні постійно виділяти желеподобні липкі речовини, закріплюватися з їх допомогою та створювати м'який наліт. Якщо не видаляти його, він швидко збільшиться, затвердіє і перетвориться на зубний камінь. Наріст твердих відкладень небезпечний для людини: він подразнює ясна, заважає обміну речовин і є причиною наступних ускладнень:
• відшарування слизової від зуба;
• пошкодження емалі;
• проникнення інфекції в глибину тканин;
• початок запального процесу;
• поширення інфекції на інші системи та органи;
• розвиток пародонтальних кишень.
Патогенні мікроорганізми дуже швидко проникають в порожнини, що утворилися в результаті відшарування слизової, та провокують кровоточивість ясен.
Розвиток зубного каменю відбувається протягом декількох місяців і залежить від особистої гігієни людини. За місцем розташування розрізняють: надясневий та підясневий зубний камінь. Існує кілька способів видалення цих каменів. Такі процедури проводяться стоматологом-пародонтологом за допомогою спеціального обладнання та інструментів.
Видалення каменю в домашніх умовах категорично не рекомендується, так як це призводить до травмування емалі та м'яких тканин.
Гінгівіт і пародонтит є серйозними стоматологічними захворюваннями, які негативно впливають на весь організм. Завдяки активному кровообігу в області голови та шиї, патогенні бактерії в порожнині рота можуть розноситися по всіх органах і тканинах, та викликати в них гострі хронічні захворювання.
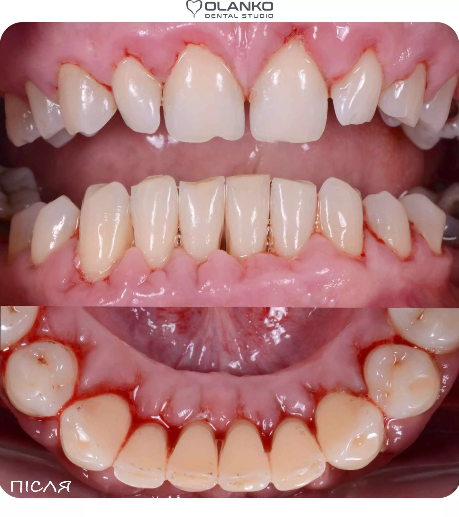
Стан зубів і ясен в перший візит після початку лікування
Пародонтоз і пародонтит завдають не тільки емоційного та фізичного дискомфорту, а й самі по собі стають причиною виникнення і розвитку хронічних системних захворювань організму. Більш того, останні дослідження показали, що пацієнти з важкою формою пародонтиту та пародонтозу знаходяться в групі ризику летальних випадків, через тривалу інтоксикацію і запалення лімфатичної системи.
На сьогоднішній день, пародонтит є одним з найпоширеніших захворювань, і якщо Ви виявили хоча б один з перерахованих вище симптомів - негайно зверніться за стоматологічною допомогою!
Лікарі клініки Olanko dental studio (Оланко) м. Бровари надають широкий спектр ефективних методик по лікуванню та профілактиці пародонтиту. Завдяки сучасному обладнанню і високому рівню професіоналізму, ми допоможемо зберегти та підтримати здоров'я Ваших зубів.
Велику увагу наші стоматологи приділяють ранній діагностиці та профілактиці пародонтиту: всі пацієнти проходять диспансеризацію з обов'язковими гігієнічними чистками не менше одного разу в 6 місяців.
Ми використовуємо як консервативні, так і хірургічні методи лікування пародонтиту.
Перший і найважливіший етап - це діагностика, яка дозволяє визначити тяжкість захворювання і призначити правильне ефективне лікування.
Діагностика захворювань ясен включає в себе наступні етапи:
• огляд;
• зондування пародонтальних кишень;
• заповнення пародонтологічної карти;
• рентген-діагностика;
• постановка діагнозу.
При легких формах гінгівіту та пародонтиту досить провести наступні лікувальні заходи:
• зняття надясневих і підясневих зубних відкладень (зубного каменю);
• полірування зубів;
• фторування;
• заміна неякісних пломб, коронок і реставрацій, що провокують запалення.
Для лікування більш складних форм пародонтиту (c глибиною кишень 4-5 мм) ми використовуємо ручні пародонтологічні кюрети Грейсі, для якісної та ефективної очистки кишен, міжзубних просторів.
Таке лікування проходить в наступній послідовності:
• анестезія області чи сегмента;
• кюретаж (чистка) пародонтальних кишень;
• полірування очищеної поверхні коренів;
• антисептична обробка.
Лікування ясен апаратом Вектор (VECTOR) ми застосовуємо в своїй практиці ось уже більше 10-ти років!
Цей унікальний апарат був розроблений компанією DURR DENTAL (Німеччина) для делікатного лікування: гінгівіту, пародонтиту та переімплантиту.
Принцип роботи апарату побудований на очищенні поверхні кореня, пародонтальних кишень від бактеріальної біоплівки та м'якого полірування поверхні кореня. Очищення здійснюється за рахунок ефекту ультразвукової кавітації. При цьому на робочу частину інструменту подається спеціальний запатентований розчин (Vector Fluid Polish).
Розчин і насадка не травмують корінь та прилеглі тканини, оскільки апарат не створює хаотичних і коливальних рухів. Робота насадки спрямована суто паралельно поверхні кореня з вертикальним відхиленням 90 градусів.
Лікувальний ефект наші пацієнти можуть відчути буквально після першої процедури!
Метод Вектор (VECTOR) є невід'ємною частиною комплексного лікування гінгівіту та пародонтиту.
НАТИСНИ І ОТРИМАЙ ЗНИЖКУ 3% НА УСІ ВИДИ ПОСЛУГ